

货号
产品规格
售价
备注
BN40299R-100ul
100ul
¥2360.00
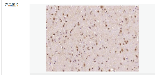
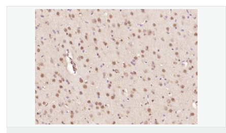
交叉反应:Mouse,Rat(predicted:Human,Dog,Pig,Cow,Horse,Rabbit,Sheep) 推荐应用:IHC-P,IHC-F,ICC,IF,ELISA
BN40299R-200ul
200ul
¥3490.00
交叉反应:Mouse,Rat(predicted:Human,Dog,Pig,Cow,Horse,Rabbit,Sheep) 推荐应用:IHC-P,IHC-F,ICC,IF,ELISA
产品描述
| 英文名称 | Ataxin 7 |
| 中文名称 | 脊髓小脑共济失调蛋白7抗体 |
| 别 名 | Ataxin7; Ataxin-7; ADCAII; ATXN 7; OPCA III; OPCA3; SCA 7; SCA7; Spinocerebellar Ataxia 7; Spinocerebellar ataxia type 7 protein; ATX7_HUMAN. |
| 研究领域 | 细胞生物 神经生物学 |
| 抗体来源 | Rabbit |
| 克隆类型 | Polyclonal |
| 交叉反应 | Mouse, Rat, (predicted: Human, Dog, Pig, Cow, Horse, Rabbit, Sheep, ) |
| 产品应用 | ELISA=1:5000-10000 IHC-P=1:100-500 IHC-F=1:100-500 ICC=1:100-500 IF=1:100-500 (石蜡切片需做抗原修复) not yet tested in other applications. optimal dilutions/concentrations should be determined by the end user. |
| 分 子 量 | 95kDa |
| 细胞定位 | 细胞核 细胞浆 |
| 性 状 | Liquid |
| 浓 度 | 1mg/ml |
| 免 疫 原 | KLH conjugated synthetic peptide derived from human Ataxin 7:301-400/892 |
| 亚 型 | IgG |
| 纯化方法 | affinity purified by Protein A |
| 储 存 液 | 0.01M TBS(pH7.4) with 1% BSA, 0.03% Proclin300 and 50% Glycerol. |
| 保存条件 | Shipped at 4℃. Store at -20 °C for one year. Avoid repeated freeze/thaw cycles. |
| PubMed | PubMed |
| 产品介绍 | The human ataxin-7 gene, also known as spinocerebellar ataxia 7 or SCA7, maps to chromosome 3p13-p12, has a 2,727-bp open reading frame, and encodes a 892 amino acid protein containing a nuclear localization signal and a polyglutamine tract (1,2). SCA7 is an autosomal dominant neurodegenerative disorder characterized by ataxia and selective neuronal cell loss caused by the expansion of a translated CAG repeat encoding a polyglutamine tract in ataxin-7, which is the SCA7 gene product (3,4). Ataxin-7 is expressed within neurons both affected and unaffected in SCA7 pathology with subcellular localization being variable depending upon the neuronal subtype (5). Polyglutamine expanded in ataxin-7 may carry out its pathogenic effects in the nucleus by altering the matrix-associated nuclear structure and/or by disrupting nucleolar function (6). Function: Ataxin 7 is a protein of unknown function. It may be the human orthologue of the yeast SAGA SGF73 subunit and a subunit of the human TFTC-like transcriptional complexes. Spinocerebellar ataxia 7 (one of a group of hereditary neurodegenrative diseases) is caused by an expanded trinucleotide repeat in the gene encoding ataxin 7. Ataxin 7 is typically located in the cytoplasm and on the nuclear membrane of normal brain neurons. In cells where there is a mutation of the SCA7 gene, ataxin 7 accumulates in intranuclear inclusions and can result in cell death. Subunit: Component of the STAGA transcription coactivator-HAT complex, at least composed of SUPT3H, GCN5L2, TAF5L, TAF6L, SUPT7L, TADA3L, TAD1L, TAF10, TAF12, TRRAP, TAF9 and ATXN7. The STAGA core complex is associated with a subcomplex required for histone deubiquitination composed of ATXN7L3, ENY2 and USP22. Interacts with SORBS1, PSMC1 and CRX. Interacts with TRRAP, GCN5L2 and TAF10. Interacts with alpha tubulin. Subcellular Location: Cytoplasmic (isoform b) and Nuclear (isoform a) Tissue Specificity: Isoform a and isoform b are expressed in CNS, but isoform a is expressed predominantly in the peripherical tissues. Isoform b is also highly expressed in the frontal lobe, skeletal muscle and spinal cord and is expressed at a lower level in the lung, lymphoblast and intestine. Post-translational modifications: Proteolytically cleaved. The cleavage may be involved in SCA7 degeneration: the isoform fragments may exert distinct toxic influences that could contribute to selective neurodegeneration. Sumoylation decreases the aggregation propensity and cellular toxicity of forms with an expanded poly-Gln region but has no effect on subcellular location or interaction with components of the STAGA complex. DISEASE: Defects in ATXN7 are the cause of spinocerebellar ataxia type 7 (SCA7) [MIM:164500]; also known as olivopontocerebellar atrophy III (OPCA III or OPCA3) or olivopontocerebellar atrophy with retinal degeneration. Spinocerebellar ataxia is a clinically and genetically heterogeneous group of cerebellar disorders. Patients show progressive incoordination of gait and often poor coordination of hands, speech and eye movements, due to degeneration of the cerebellum with variable involvement of the brainstem and spinal cord. SCA7 belongs to the autosomal dominant cerebellar ataxias type II (ADCA II) which are characterized by cerebellar ataxia with retinal degeneration and pigmentary macular dystrophy. Similarity: Belongs to the ataxin-7 family. Contains 1 SCA7 domain. SWISS: O15265 Gene ID: 6314 Database links: Entrez Gene: 6314 Human Entrez Gene: 246103 Mouse Omim: 164500 Human Omim: 607640 Human SwissProt: O15265 Human SwissProt: Q8R4I1 Mouse Unigene: 476595 Human Important Note: This product as supplied is intended for research use only, not for use in human, therapeutic or diagnostic applications. |


