

货号
产品规格
售价
备注
BN40314R-100ul
100ul
¥2360.00
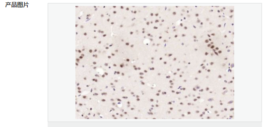
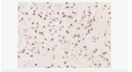
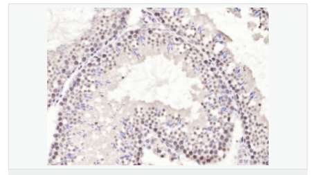
交叉反应:Human,Mouse,Rat(predicted:Dog,Pig,Cow,Horse,Sheep) 推荐应用:WB,IHC-P,IHC-F,ICC,IF,ELISA
BN40314R-200ul
200ul
¥3490.00
交叉反应:Human,Mouse,Rat(predicted:Dog,Pig,Cow,Horse,Sheep) 推荐应用:WB,IHC-P,IHC-F,ICC,IF,ELISA
产品描述
| 英文名称 | Neuro D |
| 中文名称 | 神经特异性转录因子DPF1抗体 |
| 别 名 | NeuroD4; BAF45B; BRG1-associated factor 45B; D4; DPF1; DPF 1; DPF=1; DPF1_HUMAN; NEUD4; NEUD 4; Zinc and double PHD fingers family 1; Zinc finger protein neuro-d4. |
| 研究领域 | 细胞生物 神经生物学 信号转导 转录调节因子 表观遗传学 |
| 抗体来源 | Rabbit |
| 克隆类型 | Polyclonal |
| 交叉反应 | Mouse, Rat, (predicted: Human, Dog, Pig, Cow, Horse, Sheep, ) |
| 产品应用 | WB=1:500-2000 ELISA=1:5000-10000 IHC-P=1:100-500 IHC-F=1:100-500 ICC=1:100-500 IF=1:100-500 (石蜡切片需做抗原修复) not yet tested in other applications. optimal dilutions/concentrations should be determined by the end user. |
| 分 子 量 | 42kDa |
| 细胞定位 | 细胞核 细胞浆 |
| 性 状 | Liquid |
| 浓 度 | 1mg/ml |
| 免 疫 原 | KLH conjugated synthetic peptide derived from human Neuro D4:301-380/380 |
| 亚 型 | IgG |
| 纯化方法 | affinity purified by Protein A |
| 储 存 液 | 0.01M TBS(pH7.4) with 1% BSA, 0.03% Proclin300 and 50% Glycerol. |
| 保存条件 | Shipped at 4℃. Store at -20 °C for one year. Avoid repeated freeze/thaw cycles. |
| PubMed | PubMed |
| 产品介绍 | DPF1 is a 353 amino acid protein that contains two PHD-type zinc fingers and belongs to the requiem/DPF family. Localized to both the nucleus and the cytoplasm, DPF1 is thought to play an important role in the regulation of neuronal cell survival. Specifically, DPF1 may function as a neurospecific transcription factor that binds DNA and participates in cell cycle progression. Human and rat DPF1 share 93% sequence identity, suggesting a conserved role between species. Multiple isoforms of DPF1 exist due to alternative splicing events. Function: May have an important role in developing neurons by participating in regulation of cell survival, possibly as a neurospecific transcription factor. Belongs to the neuron-specific chromatin remodeling complex (nBAF complex). During neural development a switch from a stem/progenitor to a post-mitotic chromatin remodeling mechanism occurs as neurons exit the cell cycle and become committed to their adult state. The transition from proliferating neural stem/progenitor cells to post-mitotic neurons requires a switch in subunit composition of the npBAF and nBAF complexes. As neural progenitors exit mitosis and differentiate into neurons, npBAF complexes which contain ACTL6A/BAF53A and PHF10/BAF45A, are exchanged for homologous alternative ACTL6B/BAF53B and DPF1/BAF45B or DPF3/BAF45C subunits in neuron-specific complexes (nBAF). The npBAF complex is essential for the self-renewal/proliferative capacity of the multipotent neural stem cells. The nBAF complex along with CREST plays a role regulating the activity of genes essential for dendrite growth. Subunit: Component of neuron-specific chromatin remodeling complex (nBAF complex) composed of at least, ARID1A/BAF250A or ARID1B/BAF250B, SMARCD1/BAF60A, SMARCD3/BAF60C, SMARCA2/BRM/BAF190B, SMARCA4/BRG1/BAF190A, SMARCB1/BAF47, SMARCC1/BAF155, SMARCE1/BAF57, SMARCC2/BAF170, DPF1/BAF45B, DPF3/BAF45C, ACTL6B/BAF53B and actin Subcellular Location: Cytoplasm. Nucleus. Similarity: Belongs to the requiem/DPF family. Contains 2 PHD-type zinc fingers. SWISS: Q92782 Gene ID: 8193 Database links: Entrez Gene: 8193 Human Entrez Gene: 29861 Mouse SwissProt: Q92782 Human SwissProt: Q9QX66 Mouse Unigene: 631576 Human Unigene: 101885 Mouse Unigene: 453136 Mouse Unigene: 453137 Mouse Unigene: 42906 Rat Important Note: This product as supplied is intended for research use only, not for use in human, therapeutic or diagnostic applications. |


