

货号
产品规格
售价
备注
BN40330R-100ul
100ul
¥2360.00
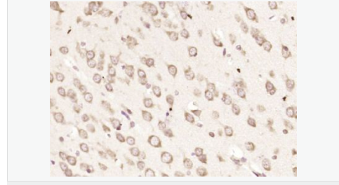
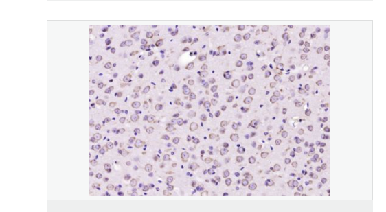
交叉反应:Mouse,Rat(predicted:Human,Dog,Horse) 推荐应用:WB,IHC-P,IHC-F,ICC,IF,ELISA
BN40330R-200ul
200ul
¥3490.00
交叉反应:Mouse,Rat(predicted:Human,Dog,Horse) 推荐应用:WB,IHC-P,IHC-F,ICC,IF,ELISA
产品描述
| 英文名称 | CSAD |
| 中文名称 | 半胱氨酸亚磺酸脱羧酶抗体 |
| 别 名 | CSAD; CSAD_HUMAN; CSD; Cysteine sulfinic acid decarboxylase; Cysteine-sulfinate decarboxylase; Sulfinoalanine decarboxylase. |
| 研究领域 | 肿瘤 神经生物学 信号转导 新陈代谢 |
| 抗体来源 | Rabbit |
| 克隆类型 | Polyclonal |
| 交叉反应 | Mouse, Rat, (predicted: Human, Dog, Horse, ) |
| 产品应用 | WB=1:500-2000 ELISA=1:5000-10000 IHC-P=1:100-500 IHC-F=1:100-500 ICC=1:100-500 IF=1:100-500 (石蜡切片需做抗原修复) not yet tested in other applications. optimal dilutions/concentrations should be determined by the end user. |
| 分 子 量 | 55kDa |
| 细胞定位 | 细胞浆 细胞外基质 |
| 性 状 | Liquid |
| 浓 度 | 1mg/ml |
| 免 疫 原 | KLH conjugated synthetic peptide derived from human CSAD:401-493/493 |
| 亚 型 | IgG |
| 纯化方法 | affinity purified by Protein A |
| 储 存 液 | 0.01M TBS(pH7.4) with 1% BSA, 0.03% Proclin300 and 50% Glycerol. |
| 保存条件 | Shipped at 4℃. Store at -20 °C for one year. Avoid repeated freeze/thaw cycles. |
| PubMed | PubMed |
| 产品介绍 | CSAD is a 493 amino acid protein that exists as a homodimer and belongs to the group II decarboxylase family. CSAD catalyzes the conversion of 3-sulfino-L-alanine to hypotaurine and carbon dioxide, binds pyridoxal phosphate as a cofactor and undergoes alternative splicing to produce three isoforms. The gene encoding CSAD maps to human chromosome 12, which encodes over 1,100 genes and comprises approximately 4.5% of the human genome. Chromosome 12 is associated with a variety of diseases and afflictions, including hypochondrogenesis, achondrogenesis, Kniest dysplasia, Noonan syndrome and trisomy 12p, which causes facial developmental defects and seizure disorders. Subunit: Homodimer. Similarity: Belongs to the group II decarboxylase family. SWISS: Q9Y600 Gene ID: 51380 Database links: UniProtKB/Swiss-Prot: Q9Y600.2 Important Note: This product as supplied is intended for research use only, not for use in human, therapeutic or diagnostic applications. |

