

货号
产品规格
售价
备注
BN40359R-100ul
100ul
¥2360.00
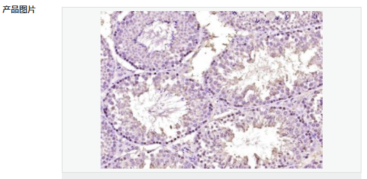
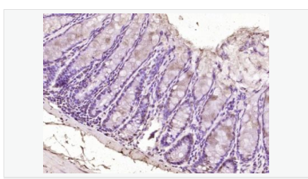
交叉反应:Human,Mouse(predicted:Rat,Dog,Pig,Cow,Rabbit) 推荐应用:IHC-P,IHC-F,ICC,IF,ELISA
BN40359R-200ul
200ul
¥3490.00
交叉反应:Human,Mouse(predicted:Rat,Dog,Pig,Cow,Rabbit) 推荐应用:IHC-P,IHC-F,ICC,IF,ELISA
产品描述
| 英文名称 | SOX7 |
| 中文名称 | 转录因子SOX7抗体 |
| 别 名 | MGC10895; SOX 7; SOX 7 transcription factor; sox7; SOX7 transcription factor; SOX7_HUMAN; SRY (sex determining region Y) box 7; SRY box 7; SRY sex determining region Y box 7; Transcription factor SOX 7; Transcription factor Sox-7; Transcription factor SOX7. |
| 研究领域 | 细胞生物 发育生物学 干细胞 转录调节因子 表观遗传学 |
| 抗体来源 | Rabbit |
| 克隆类型 | Polyclonal |
| 交叉反应 | Human, Mouse, (predicted: Rat, Dog, Pig, Cow, Rabbit, ) |
| 产品应用 | ELISA=1:5000-10000 IHC-P=1:100-500 IHC-F=1:100-500 ICC=1:100-500 IF=1:100-500 (石蜡切片需做抗原修复) not yet tested in other applications. optimal dilutions/concentrations should be determined by the end user. |
| 分 子 量 | 42kDa |
| 细胞定位 | 细胞核 |
| 性 状 | Liquid |
| 浓 度 | 1mg/ml |
| 免 疫 原 | KLH conjugated synthetic peptide derived from human SOX7:42-100/388 |
| 亚 型 | IgG |
| 纯化方法 | affinity purified by Protein A |
| 储 存 液 | 0.01M TBS(pH7.4) with 1% BSA, 0.03% Proclin300 and 50% Glycerol. |
| 保存条件 | Shipped at 4℃. Store at -20 °C for one year. Avoid repeated freeze/thaw cycles. |
| PubMed | PubMed |
| 产品介绍 | Sox genes comprise a family of genes that are related to the mammalian sex determining gene SRY. These genes similarly contain sequences that encode for the HMG-box domain, which is responsible for the sequence-specific DNA-binding activity. Sox genes encode putative transcriptional regulators implicated in the decision of cell fates during development and the control of diverse developmental processes. The highly complex group of Sox genes cluster at least 40 different loci that rapidly diverged in various animal lineages. At present, 30 Sox genes have been identified. Members of this family have been shown to be conserved during evolution and to play key roles during animal development. Some are involved in human diseases, including sex reversal. Function: Transcriptional repressor. Binds to the DNA sequence 5'-AACAAT-3'. Subunit: Interacts with CTNNB1/beta-catenin; this interaction may lead to the proteasomal degradation of active CTNNB1 and thus inhibition of Wnt/beta-catenin-stimulated transcription. Subcellular Location: Nucleus. Tissue Specificity: Widely expressed in adult and fetal tissues. Present both in mesenchymal and epithelial cells in some adult tissues, including colon. Tends to be down-regulated in prostate adenocarcinomas and colorectal tumors due to promoter hypermethylation. Similarity: Contains 1 HMG box DNA-binding domain. Contains 1 Sox C-terminal domain. SWISS: Q9BT81 Gene ID: 83595 Database links: Entrez Gene: 83595 Human Entrez Gene: 20680 Mouse Entrez Gene: 378665 Xenopus laevis Omim: 612202 Human SwissProt: Q9BT81 Human SwissProt: P40646 Mouse SwissProt: O42342 Xenopus laevis Unigene: 709543 Human Unigene: 42162 Mouse Unigene: 1241 Xenopus laevis Important Note: This product as supplied is intended for research use only, not for use in human, therapeutic or diagnostic applications. |


