

货号
产品规格
售价
备注
BN40411R-100ul
100ul
¥2360.00
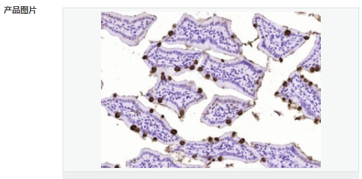
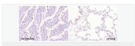
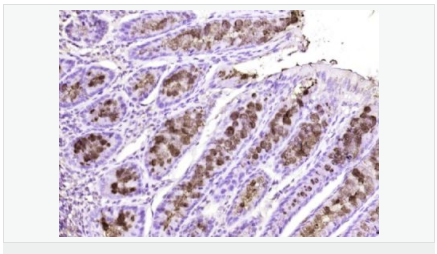
交叉反应:Human,Mouse,Rat(predicted:Dog,Rabbit) 推荐应用:WB,IHC-P,IHC-F,IF,ELISA
BN40411R-200ul
200ul
¥3490.00
交叉反应:Human,Mouse,Rat(predicted:Dog,Rabbit) 推荐应用:WB,IHC-P,IHC-F,IF,ELISA
产品描述
| 英文名称 | FCGBP |
| 中文名称 | Fcγ免疫球蛋白IgG结合蛋白抗体 |
| 别 名 | Fc fragment of IgG binding protein; FC(GAMMA)BP; Fcgamma-binding protein antigen; FcgammaBP; FCGBP; FCGBP_HUMAN; Human Fc gamma BP; IgGFc-binding protein. |
| 研究领域 | 细胞生物 免疫学 细胞膜受体 |
| 抗体来源 | Rabbit |
| 克隆类型 | Polyclonal |
| 交叉反应 | Human, Mouse, Rat, (predicted: Dog, Rabbit, ) |
| 产品应用 | ELISA=1:5000-10000 IHC-P=1:100-500 IHC-F=1:100-500 IF=1:100-500 (石蜡切片需做抗原修复) not yet tested in other applications. optimal dilutions/concentrations should be determined by the end user. |
| 分 子 量 | 569kDa |
| 细胞定位 | 分泌型蛋白 |
| 性 状 | Liquid |
| 浓 度 | 1mg/ml |
| 免 疫 原 | KLH conjugated synthetic peptide derived from human FCGBP:431-530/5405 |
| 亚 型 | IgG |
| 纯化方法 | affinity purified by Protein A |
| 储 存 液 | 0.01M TBS(pH7.4) with 1% BSA, 0.03% Proclin300 and 50% Glycerol. |
| 保存条件 | Shipped at 4℃. Store at -20 °C for one year. Avoid repeated freeze/thaw cycles. |
| PubMed | PubMed |
| 产品介绍 | Fc (Ig constant fragment) receptors ensure protection of the host against foreign antigens, such as microorganisms and pathogens, by removing Ig-coated antigen complexes from circulation. Fc receptors are present on lymphoid and myeloid derivatives, where they mediate endocytosis of Ig-antigen complexes, antibody production in B cells through T cell antigen presentation, cytotoxicity and the release of cytokines and reactive oxygen species. The Fc γ-binding protein (FCGBP) interacts with the Fc portion of IgG and MUC2 to mediate the maintenance of the mucosal structure. FCGBP is a 5,405 amino acid protein that contains twelve TIL (trypsin inhibitory-like) domains and thirteen VWFD domains. It is predominantly expressed in placenta and colon epithelium as well as in thyroid and serum. Patients with various autoimmune diseases seemingly have higher levels of FCGBP protein present in their serum. Function: May be involved in the maintenance of the mucosal structure as a gel-like component of the mucosa. Subunit: Interacts with the Fc portion of IgG and with MUC2. Subcellular Location: Secreted. Tissue Specificity: Mainly expressed in placenta and colon epithelium. Expressed in thyroid, and down-regulated in thyroid carcinomas. Present in serum, with higher levels in patients with various autoimmune diseases (at protein level). Similarity: Contains 12 TIL (trypsin inhibitory-like) domains. Contains 13 VWFD domains. SWISS: Q9Y6R7 Gene ID: 8857 Database links: Entrez Gene: 8857 Human SwissProt: Q9Y6R7 Human Unigene: 111732 Human Important Note: This product as supplied is intended for research use only, not for use in human, therapeutic or diagnostic applications. |




