

货号
产品规格
售价
备注
BN40490R-100ul
100ul
¥2360.00
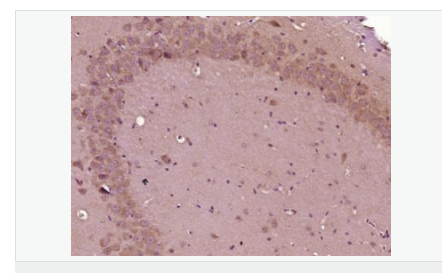
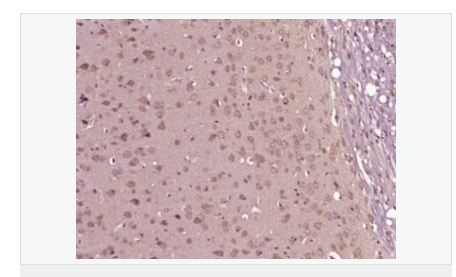
交叉反应:Mouse,Rat(predicted:Human,Dog,Pig,Cow,Horse,Rabbit,Sheep) 推荐应用:WB,IHC-P,IHC-F,ICC,IF
BN40490R-200ul
200ul
¥3490.00
交叉反应:Mouse,Rat(predicted:Human,Dog,Pig,Cow,Horse,Rabbit,Sheep) 推荐应用:WB,IHC-P,IHC-F,ICC,IF
产品描述
| 英文名称 | SGCE |
| 中文名称 | SGCE蛋白抗体 |
| 别 名 | dystonia 11, myoclonic; DYT11; Epsilon sarcoglycan; Epsilon SG; Epsilon-sarcoglycan; Epsilon-SG; ESG; sarcoglycan, epsilon; sgcE; SGCE_HUMAN. |
| 研究领域 | 细胞生物 发育生物学 信号转导 细胞骨架 |
| 抗体来源 | Rabbit |
| 克隆类型 | Polyclonal |
| 交叉反应 | Mouse, Rat, (predicted: Human, Dog, Pig, Cow, Horse, Rabbit, Sheep, ) |
| 产品应用 | WB=1:500-2000 IHC-P=1:100-500 IHC-F=1:100-500 ICC=1:100-500 IF=1:100-500 (石蜡切片需做抗原修复) not yet tested in other applications. optimal dilutions/concentrations should be determined by the end user. |
| 分 子 量 | 50kDa |
| 细胞定位 | 细胞膜 |
| 性 状 | Liquid |
| 浓 度 | 1mg/ml |
| 免 疫 原 | KLH conjugated synthetic peptide derived from human SGCE:61-160/437 <Extracellular> |
| 亚 型 | IgG |
| 纯化方法 | affinity purified by Protein A |
| 储 存 液 | 0.01M TBS(pH7.4) with 1% BSA, 0.03% Proclin300 and 50% Glycerol. |
| 保存条件 | Shipped at 4℃. Store at -20 °C for one year. Avoid repeated freeze/thaw cycles. |
| PubMed | PubMed |
| 产品介绍 | This gene encodes the epsilon member of the sarcoglycan family. Sarcoglycans are transmembrane proteins that are components of the dystrophin-glycoprotein complex, which link the actin cytoskeleton to the extracellular matrix. Unlike other family members which are predominantly expressed in striated muscle, the epsilon sarcoglycan is more broadly expressed. Mutations in this gene are associated with myoclonus-dystonia syndrome. This gene is imprinted, with preferential expression from the paternal allele. Alternatively spliced transcript variants encoding different isoforms have been found for this gene.[provided by RefSeq, Oct 2010] Function: Component of the sarcoglycan complex, a subcomplex of the dystrophin-glycoprotein complex which forms a link between the F-actin cytoskeleton and the extracellular matrix. Subcellular Location: Cell membrane > sarcolemma. Cytoplasm > cytoskeleton. Tissue Specificity: Ubiquitous. DISEASE: Defects in SGCE are a cause of dystonia type 11 (DYT11) [MIM:159900]; also known as myoclonic dystonia or alcohol-responsive dystonia. DYT11 is a myoclonic dystonia. Dystonia is defined by the presence of sustained involuntary muscle contractions, often leading to abnormal postures. DYT11 is characterized by involuntary lightning jerks and dystonic movements and postures alleviated by alcohol. Inheritance is autosomal dominant. The age of onset, pattern of body involvement, presence of myoclonus and response to alcohol are all variable. Similarity: Belongs to the sarcoglycan alpha/epsilon family. SWISS: O43556 Gene ID: 8910 Database links: Entrez Gene: 8910 Human Entrez Gene: 20392 Mouse Omim: 604149 Human SwissProt: O43556 Human SwissProt: O70258 Mouse Unigene: 371199 Human Unigene: 8739 Mouse Unigene: 185815 Rat Important Note: This product as supplied is intended for research use only, not for use in human, therapeutic or diagnostic applications. |


