

货号
产品规格
售价
备注
BN40507R-100ul
100ul
¥2360.00
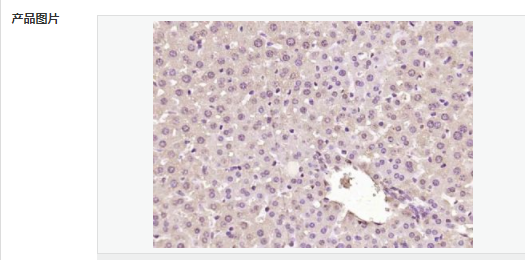
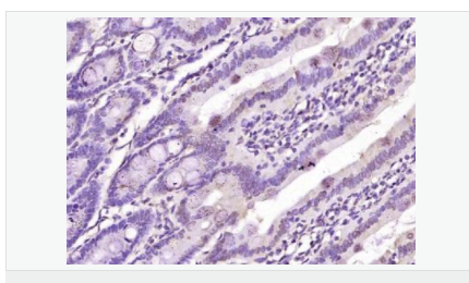
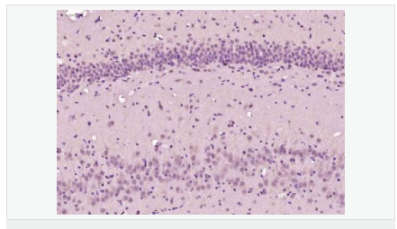
交叉反应:Mouse,Rat(predicted:Human,Pig,Cow,Horse,Rabbit,Sheep) 推荐应用:IHC-P,IHC-F,ICC,IF,ELISA
BN40507R-200ul
200ul
¥3490.00
交叉反应:Mouse,Rat(predicted:Human,Pig,Cow,Horse,Rabbit,Sheep) 推荐应用:IHC-P,IHC-F,ICC,IF,ELISA
产品描述
| 英文名称 | MSGN1 |
| 中文名称 | 间生蛋白抗体 |
| 别 名 | Mesogenin-1 Mesogenin1; Msgn1; MSGN1_HUMAN; paraxial mesogenin. |
| 研究领域 | 细胞生物 发育生物学 |
| 抗体来源 | Rabbit |
| 克隆类型 | Polyclonal |
| 交叉反应 | Mouse, Rat, (predicted: Human, Pig, Cow, Horse, Rabbit, Sheep, ) |
| 产品应用 | ELISA=1:5000-10000 IHC-P=1:100-500 IHC-F=1:100-500 ICC=1:100-500 IF=1:100-500 (石蜡切片需做抗原修复) not yet tested in other applications. optimal dilutions/concentrations should be determined by the end user. |
| 分 子 量 | 21kDa |
| 细胞定位 | 细胞核 |
| 性 状 | Liquid |
| 浓 度 | 1mg/ml |
| 免 疫 原 | KLH conjugated synthetic peptide derived from human MSGN1:101-193/193 |
| 亚 型 | IgG |
| 纯化方法 | affinity purified by Protein A |
| 储 存 液 | 0.01M TBS(pH7.4) with 1% BSA, 0.03% Proclin300 and 50% Glycerol. |
| 保存条件 | Shipped at 4℃. Store at -20 °C for one year. Avoid repeated freeze/thaw cycles. |
| PubMed | PubMed |
| 产品介绍 | Involved in the formation and segmentation of paraxial mesoderm. Has the regulatory capacity to specify ventrolateral (including future paraxial), but not dorsal (future axial), mesoderm phenotypes. Seems to be an upstream regulator of at least some elements of the Notch and Delta signaling pathway. Function: Involved in specifying the paraxial, but not dorsal, mesoderm. May regulate the expression of T-box transcription factors required for mesoderm formation and differentiation (By similarity). Subcellular Location: Nucleus. Similarity: Contains 1 basic helix-loop-helix (bHLH) domain. SWISS: A6NI15 Gene ID: 343930 Database links: Entrez Gene: 343930 Human Omim: 612209 Human SwissProt: A6NI15 Human Unigene: 705359 Human Important Note: This product as supplied is intended for research use only, not for use in human, therapeutic or diagnostic applications. |


