

货号
产品规格
售价
备注
BN40544R-100ul
100ul
¥2360.00
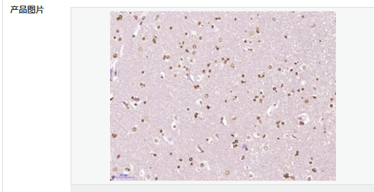
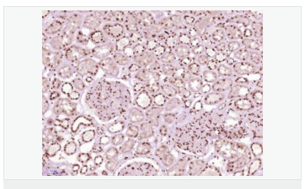
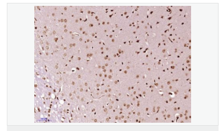
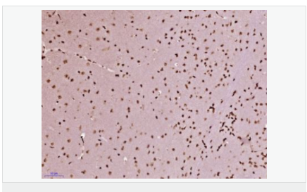
交叉反应:Human,Mouse,Rat(predicted:Pig,Cow,Horse,Rabbit,Sheep) 推荐应用:IHC-P,IHC-F,ICC,IF,ELISA
BN40544R-200ul
200ul
¥3490.00
交叉反应:Human,Mouse,Rat(predicted:Pig,Cow,Horse,Rabbit,Sheep) 推荐应用:IHC-P,IHC-F,ICC,IF,ELISA
产品描述
| 英文名称 | ZFPL1 |
| 中文名称 | 锌指蛋白样1抗体 |
| 别 名 | D11S750; MCG4; MGC 4; ZFPL 1; Zinc finger protein like 1; Zinc finger protein MCG4; zinc-finger protein in MEN1 region. |
| 研究领域 | 细胞生物 锌指蛋白 表观遗传学 |
| 抗体来源 | Rabbit |
| 克隆类型 | Polyclonal |
| 交叉反应 | Human, Mouse, Rat, (predicted: Pig, Cow, Horse, Rabbit, Sheep, ) |
| 产品应用 | ELISA=1:5000-10000 IHC-P=1:100-500 IHC-F=1:100-500 ICC=1:100-500 IF=1:100-500 (石蜡切片需做抗原修复) not yet tested in other applications. optimal dilutions/concentrations should be determined by the end user. |
| 分 子 量 | 34kDa |
| 细胞定位 | 细胞核 |
| 性 状 | Liquid |
| 浓 度 | 1mg/ml |
| 免 疫 原 | KLH conjugated synthetic peptide derived from human ZFPL1:31-130/310 |
| 亚 型 | IgG |
| 纯化方法 | affinity purified by Protein A |
| 储 存 液 | 0.01M TBS(pH7.4) with 1% BSA, 0.03% Proclin300 and 50% Glycerol. |
| 保存条件 | Shipped at 4℃. Store at -20 °C for one year. Avoid repeated freeze/thaw cycles. |
| PubMed | PubMed |
| 产品介绍 | Zinc finger protein-like 1 is a 310 amino acid single-pass membrane protein with two zinc fingers at the N-terminus, the second of which is likely a RING domain. The RING domain, which is a 40-60 amino acid, cysteine-rich domain that binds two atoms of zinc, plays a key role in the ubiquitination pathway. The presence of zinc finger-like and leucine zipper-like domains in ZFPL1 suggests a role in DNA binding and transcriptional regulation. ZFP1 is widely expressed in the golgi apparatus and is involved in maintaining golgi structure and regulating the rate of cargo transport. Function: Required for cis-Golgi integrity and efficient ER to Golgi transport. Involved in the maintenance of the integrity of the cis-Golgi, possibly via its interaction with GOLGA2/GM130. Subcellular Location: Golgi Apparatus and Nuclear; Single-pass membrane protein. SWISS: O95159 Gene ID: 7542 Database links: Entrez Gene: 7542 Human Entrez Gene: 81909 Mouse SwissProt: O95159 Human SwissProt: Q9DB43 Mouse Unigene: 98170 Human Unigene: 289471 Mouse Important Note: This product as supplied is intended for research use only, not for use in human, therapeutic or diagnostic applications. |



