

货号
产品规格
售价
备注
BN40546R-100ul
100ul
¥2360.00
交叉反应:Human,Mouse,Rat(predicted:Dog,Pig,Cow,Horse,Rabbit,Sheep) 推荐应用:WB,IHC-P,ELISA
BN40546R-200ul
200ul
¥3490.00
交叉反应:Human,Mouse,Rat(predicted:Dog,Pig,Cow,Horse,Rabbit,Sheep) 推荐应用:WB,IHC-P,ELISA
产品描述
| 英文名称 | ZFY19 |
| 中文名称 | ZFY19抗体 |
| 别 名 | ZFYVE19; MLL partner containing FYVE domain; MPFYVE; ZFY19_HUMAN; ZFYVE 19; Zfyve19; Zinc finger FYVE domain containing protein 19; Zinc finger FYVE domain-containing protein 19. |
| 研究领域 | 细胞生物 转录调节因子 锌指蛋白 表观遗传学 |
| 抗体来源 | Rabbit |
| 克隆类型 | Polyclonal |
| 交叉反应 | Human, Mouse, Rat, (predicted: Dog, Pig, Cow, Horse, Rabbit, Sheep, ) |
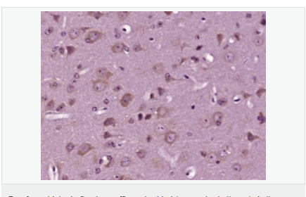
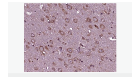
| 产品应用 | WB=1:500-2000 ELISA=1:5000-10000 IHC-P=1:100-500 (石蜡切片需做抗原修复) not yet tested in other applications. optimal dilutions/concentrations should be determined by the end user. |
| 分 子 量 | 52kDa |
| 细胞定位 | 细胞浆 |
| 性 状 | Liquid |
| 浓 度 | 1mg/ml |
| 免 疫 原 | KLH conjugated synthetic peptide derived from human ZFY19:101-200/471 |
| 亚 型 | IgG |
| 纯化方法 | affinity purified by Protein A |
| 储 存 液 | 0.01M TBS(pH7.4) with 1% BSA, 0.03% Proclin300 and 50% Glycerol. |
| 保存条件 | Shipped at 4℃. Store at -20 °C for one year. Avoid repeated freeze/thaw cycles. |
| PubMed | PubMed |
| 产品介绍 |


