

货号
产品规格
售价
备注
BN40710R-100ul
100ul
¥2360.00
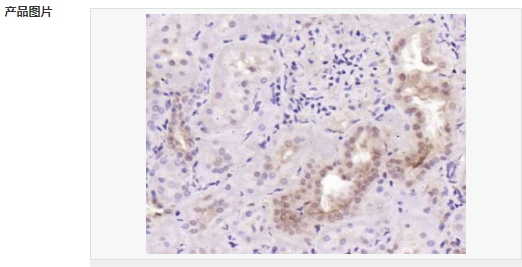
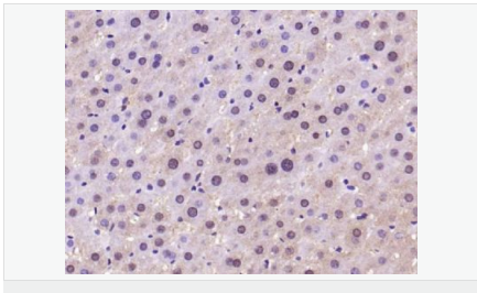
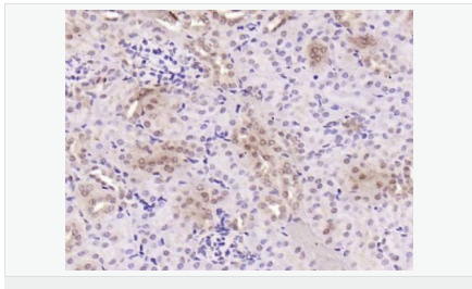
交叉反应:Mouse,Rat(predicted:Human,Rabbit) 推荐应用:IHC-P
BN40710R-200ul
200ul
¥3490.00
交叉反应:Mouse,Rat(predicted:Human,Rabbit) 推荐应用:IHC-P
产品描述
| 英文名称 | TBX3 |
| 中文名称 | 转录因子Tbx3抗体 |
| 别 名 | T-box protein 3; T-box transcription factor TBX3; TBX3; TBX3-ISO; TBX3 ISO; UMS; XHL; Bladder cancer related protein XHL; T box 3; TBX3_HUMAN. |
| 研究领域 | 细胞生物 神经生物学 细胞凋亡 转录调节因子 |
| 抗体来源 | Rabbit |
| 克隆类型 | Polyclonal |
| 交叉反应 | Mouse, Rat, (predicted: Human, Rabbit, ) |
| 产品应用 | IHC-P=1:100-500 (石蜡切片需做抗原修复) not yet tested in other applications. optimal dilutions/concentrations should be determined by the end user. |
| 分 子 量 | 82kDa |
| 细胞定位 | 细胞核 |
| 性 状 | Liquid |
| 浓 度 | 1mg/ml |
| 免 疫 原 | KLH conjugated synthetic peptide derived from human TBX3:181-280/743 |
| 亚 型 | IgG |
| 纯化方法 | affinity purified by Protein A |
| 储 存 液 | 0.01M TBS(pH7.4) with 1% BSA, 0.03% Proclin300 and 50% Glycerol. |
| 保存条件 | Shipped at 4℃. Store at -20 °C for one year. Avoid repeated freeze/thaw cycles. |
| PubMed | PubMed |
| 产品介绍 | Tbx3 gene is a member of a phylogenetically conserved family of genes that share a common DNA binding domain, the T box. T box genes encode transcription factors involved in the regulation of developmental processes. Tbx3 is a transcriptional repressor and is thought to play a role in the anterior/posterior axis of the tetrapod forelimb. Mutations in this gene cause ulnar mammary syndrome, affecting limb, apocrine gland, tooth, hair, and genital development. Alternative splicing of this gene results in three transcript variants encoding different isoforms; however, the full length nature of one variant has not been determined. Function: Transcriptional repressor involved in developmental processes. Probably plays a role in limb pattern formation. Subcellular Location: Nucleus (Potential). Tissue Specificity: Widely expressed. DISEASE: Defects in TBX3 are the cause of ulnar-mammary syndrome (UMS) [MIM:181450]. UMS is characterized by ulnar ray defects, obesity, hypogenitalism, delayed puberty, hypoplasia of nipples and apocrine glands. Similarity: Contains 1 T-box DNA-binding domain. SWISS: O15119 Gene ID: 6926 Database links: Entrez Gene: 6926 Human Entrez Gene: 21386 Mouse Omim: 601621 Human SwissProt: O15119 Human SwissProt: P70324 Mouse Unigene: 129895 Human Unigene: 219139 Mouse Unigene: 162144 Rat Important Note: This product as supplied is intended for research use only, not for use in human, therapeutic or diagnostic applications. |


