

货号
产品规格
售价
备注
BN40845R-100ul
100ul
¥2470.00
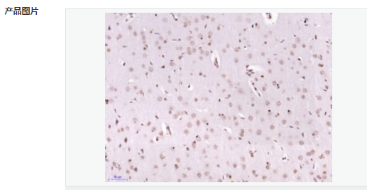
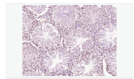
交叉反应:Mouse,Rat(predicted:Human,Dog,Pig,Cow,Horse,Rabbit) 推荐应用:IHC-P,IHC-F,ICC,IF,ELISA
产品描述
| 英文名称 | phospho-p53BP1 (Ser25 + Ser29) |
| 中文名称 | 磷酸化p53结合蛋白1抗体 |
| 别 名 | 53BP1 (phospho S25); p-53BP1 (phospho S25) ;53BP1 (Phospho-Ser25/29); 53BP1 (Phospho-S25/S29); phospho-p53BP1(Ser25/Ser29); P-53BP1 (Ser25/29); 53 BP1; FLJ41424; MGC138366; p202; p53 binding protein 1; p53 BP1; p53BP1; TP53 BP1; TP53BP1; Tumor protein 53 binding protein 1; Tumor protein p53 binding protein 1; Tumor suppressor p53 binding protein 1; TP53B_HUMAN; tumor protein 53-binding protein, 1. |
| 产品类型 | 磷酸化抗体 |
| 研究领域 | 肿瘤 细胞生物 染色质和核信号 信号转导 激酶和磷酸酶 结合蛋白 表观遗传学 |
| 抗体来源 | Rabbit |
| 克隆类型 | Polyclonal |
| 交叉反应 | Mouse, Rat, (predicted: Human, Dog, Pig, Cow, Horse, Rabbit, ) |
| 产品应用 | ELISA=1:5000-10000 IHC-P=1:100-500 IHC-F=1:100-500 ICC=1:100-500 IF=1:100-500 (石蜡切片需做抗原修复) not yet tested in other applications. optimal dilutions/concentrations should be determined by the end user. |
| 分 子 量 | 213kDa |
| 细胞定位 | 细胞核 |
| 性 状 | Liquid |
| 浓 度 | 1mg/ml |
| 免 疫 原 | KLH conjugated Synthesised phosphopeptide derived from human p53BP1 around the phosphorylation site of Ser25/29:ED(p-S)QPE(p-S)QV |
| 亚 型 | IgG |
| 纯化方法 | affinity purified by Protein A |
| 储 存 液 | 0.01M TBS(pH7.4) with 1% BSA, 0.03% Proclin300 and 50% Glycerol. |
| 保存条件 | Shipped at 4℃. Store at -20 °C for one year. Avoid repeated freeze/thaw cycles. |
| PubMed | PubMed |
| 产品介绍 | p53 binding protein 1 (53BP1) plays a critical role in tumor suppression and is a putative substrate of ATM kinase. Upon DNA damage, it is phosphorylated and relocalizes to the presumptive sites of damage, specifically, double strand breaks. This also suggests a role in DNA repair, maintaining genomic stability. Function: May have a role in checkpoint signaling during mitosis. Enhances TP53-mediated transcriptional activation. Plays a role in the response to DNA damage. Subunit: Interacts with IFI202A. Binds to the central domain of p53/TP53. May form homooligomers. Interacts with DCLRE1C. Interacts with histone H2AFX and this requires phosphorylation of H2AFX on 'Ser-139'. Interacts with histone H4 that has been dimethylated at 'Lys-20' (H4K20me2). Has low affinity for histone H4 containing monomethylated 'Lys-20' (H4K20me1). Does not bind histone H4 containing unmethylated or trimethylated 'Lys-20' (H4K20me3). Has low affinity for histone H3 that has been dimethylated on 'Lys-79'. Has very low affinity for histone H3 that has been monomethylated on 'Lys-79' (in vitro). Does not bind unmethylated histone H3. Interacts with MUM1/EXPAND1. Interacts with CHEK2; modulates CHEK2 phosphorylation at 'Thr-68' in response to infrared. Interacts with MSL1; this interaction may be required for MSL1 DNA repair activity, but not for histone acetyltransferase activity. Subcellular Location: Nucleus. Chromosome; centromere; kinetochore. Associated with kinetochores. Both nuclear and cytoplasmic in some cells. Recruited to sites of DNA damage, such as double stand breaks. Methylation of histone H4 at 'Lys-20' is required for efficient localization to double strand breaks. Post-translational modifications: Asymmetrically dimethylated on Arg residues by PRMT1. Methylation is required for DNA binding. Phosphorylated at basal level in the absence of DNA damage. Hyper-phosphorylated in an ATM-dependent manner in response to DNA damage induced by ionizing radiation. Hyper-phosphorylated in an ATR-dependent manner in response to DNA damage induced by UV irradiation. DISEASE: Note=A chromosomal aberration involving TP53BP1 is found in a form of myeloproliferative disorder chronic with eosinophilia. Translocation t(5;15)(q33;q22) with PDGFRB creating a TP53BP1-PDGFRB fusion protein. Similarity: Contains 2 BRCT domains. SWISS: Q12888 Gene ID: 7158 Database links: Entrez Gene: 7158 Human Entrez Gene: 27223 Mouse Omim: 605230 Human SwissProt: Q12888 Human SwissProt: P70399 Mouse Unigene: 440968 Human Unigene: 383499 Mouse Unigene: 481841 Mouse Important Note: This product as supplied is intended for research use only, not for use in human, therapeutic or diagnostic applications. p53结合蛋白1(53BP1)是细胞周期检查点激酶蛋白,是新近发现的DNA损伤修复通路中两个非常重要的蛋白激酶MDC1和53BP1蛋白之一,目前多用于肿瘤方面的研究。 |

