

货号
产品规格
售价
备注
BN40896R-100ul
100ul
¥2470.00
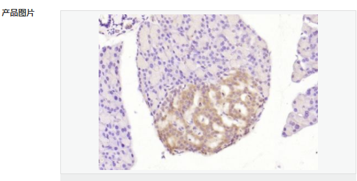
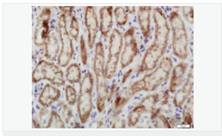
交叉反应:Rat,Mouse,Human(predicted:Rabbit,Cow,Pig,Dog) 推荐应用:WB,IHC-P,IHC-F,IF,Flow-Cyt,ELISA
产品描述
| 英文名称 | Phospho-PERK (Thr980) |
| 中文名称 | 磷酸化蛋白激酶样内质网激酶抗体 |
| 别 名 | p-PERK(Thr980); PERK(Phospho Thr980); PERK(Phospho T980); HRI; HsPEK; Pancreatic eIF2-alpha kinase; PEK; PRKR like endoplasmic reticulum kinase; WRS; DKFZp781H1925; EC 2.7.11.1; EIF2AK3; Eukaryotic translation initiation factor 2 alpha kinase 3; Heme regulated EIF2 alpha kinase. |
| 产品类型 | 磷酸化抗体 |
| 研究领域 | 肿瘤 免疫学 信号转导 细胞凋亡 转录调节因子 激酶和磷酸酶 |
| 抗体来源 | Rabbit |
| 克隆类型 | Polyclonal |
| 交叉反应 | Human, Rat, (predicted: Mouse, Dog, Pig, Cow, Rabbit, ) |
| 产品应用 | WB=1:500-2000 ELISA=1:5000-10000 IHC-P=1:100-500 IHC-F=1:100-500 Flow-Cyt=1ug/Test IF=1:100-500 (石蜡切片需做抗原修复) not yet tested in other applications. optimal dilutions/concentrations should be determined by the end user. |
| 分 子 量 | 119kDa |
| 细胞定位 | 细胞浆 细胞膜 |
| 性 状 | Liquid |
| 浓 度 | 1mg/ml |
| 免 疫 原 | KLH conjugated synthesised phosphopeptide derived from mouse PERK around the phosphorylation site of Thr980:H(p-T)GQ |
| 亚 型 | IgG |
| 纯化方法 | affinity purified by Protein A |
| 储 存 液 | 0.01M TBS(pH7.4) with 1% BSA, 0.03% Proclin300 and 50% Glycerol. |
| 保存条件 | Shipped at 4℃. Store at -20 °C for one year. Avoid repeated freeze/thaw cycles. |
| PubMed | PubMed |
| 产品介绍 | The protein encoded by this gene phosphorylates the alpha subunit of eukaryotic translation-initiation factor 2 (EIF2), leading to its inactivation, and thus to a rapid reduction of translational initiation and repression of global protein synthesis. It is a type I membrane protein located in the endoplasmic reticulum (ER), where it is induced by ER stress caused by malfolded proteins. Mutations in this gene are associated with Wolcott-Rallison syndrome. [provided by RefSeq, Jan 2010]. Function: Phosphorylates the alpha subunit of eukaryotic translation-initiation factor 2 (EIF2), leading to its inactivation and thus to a rapid reduction of translational initiation and repression of global protein synthesis. Serves as a critical effector of unfolded protein response (UPR)-induced G1 growth arrest due to the loss of cyclin D1. Subunit: Forms dimers with HSPA5/BIP in resting cells. Oligomerizes in ER-stressed cells. Interacts with DNAJC3. Subcellular Location: Endoplasmic reticulum membrane; Single-pass type I membrane protein. Tissue Specificity: Ubiquitous. Post-translational modifications: Autophosphorylated. N-glycosylated. Similarity: Belongs to the protein kinase superfamily. Ser/Thr protein kinase family. GCN2 subfamily. Contains 1 protein kinase domain. SWISS: Q9Z2B5 Gene ID: 13666 Database links: Entrez Gene: 9451 Human Entrez Gene: 13666 Mouse Omim: 604032 Human SwissProt: Q9NZJ5 Human SwissProt: Q9Z2B5 Mouse Unigene: 591589 Human Unigene: 247167 Mouse Unigene: 24897 Rat Important Note: This product as supplied is intended for research use only, not for use in human, therapeutic or diagnostic applications. |



