

货号
产品规格
售价
备注
BN40899R-100ul
100ul
¥2470.00
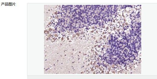
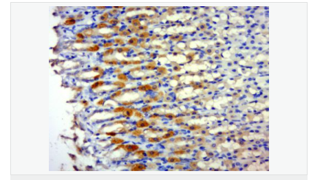
交叉反应:Human,Mouse,Rat(predicted:Dog,Pig,Cow,Rabbit) 推荐应用:IHC-P,IHC-F,IF,Flow-Cyt,ELISA
产品描述
| 英文名称 | Phospho-PSD95 (Tyr236 + Tyr240) |
| 中文名称 | 磷酸化突触后密度蛋白95抗体 |
| 别 名 | PSD95 (Phospho Tyr236 + Tyr240); PSD95 (Phospho Y236 + Y240); Discs large homolog 4; Disks large homolog 4; DLG 4; DLG4; DLG4_HUMAN; FLJ97752; FLJ98574; Human post synaptic density protein 95; Human post-synaptic density protein 95; Post synaptic density protein 95; Postsynaptic density protein 95; PSD 95; PSD-95; PSD95; SAP 90; SAP-90; SAP90; Synapse associated protein 90; Synapse-associated protein 90; Tax interaction protein 15. |
| 产品类型 | 磷酸化抗体 |
| 研究领域 | 免疫学 神经生物学 细胞类型标志物 |
| 抗体来源 | Rabbit |
| 克隆类型 | Polyclonal |
| 交叉反应 | Mouse, Rat, (predicted: Human, Dog, Pig, Cow, Rabbit, ) |
| 产品应用 | ELISA=1:5000-10000 IHC-P=1:100-500 IHC-F=1:100-500 Flow-Cyt=1μg /Test IF=1:100-500 (石蜡切片需做抗原修复) not yet tested in other applications. optimal dilutions/concentrations should be determined by the end user. |
| 分 子 量 | 80kDa |
| 细胞定位 | 细胞浆 细胞膜 |
| 性 状 | Liquid |
| 浓 度 | 1mg/ml |
| 免 疫 原 | KLH conjugated Synthesised phosphopeptide derived from human PSD95 around the phosphorylation site of Tyr236/Tyr240:NT(p-Y)DV |
| 亚 型 | IgG |
| 纯化方法 | affinity purified by Protein A |
| 储 存 液 | 0.01M TBS(pH7.4) with 1% BSA, 0.03% Proclin300 and 50% Glycerol. |
| 保存条件 | Shipped at 4℃. Store at -20 °C for one year. Avoid repeated freeze/thaw cycles. |
| PubMed | PubMed |
| 产品介绍 | This gene encodes a member of the membrane-associated guanylate kinase (MAGUK) family. It heteromultimerizes with another MAGUK protein, DLG2, and is recruited into NMDA receptor and potassium channel clusters. These two MAGUK proteins may interact at postsynaptic sites to form a multimeric scaffold for the clustering of receptors, ion channels, and associated signaling proteins. Multiple transcript variants encoding different isoforms have been found for this gene. [provided by RefSeq, Jul 2008] Function: Interacts with the cytoplasmic tail of NMDA receptor subunits and shaker-type potassium channels. Required for synaptic plasticity associated with NMDA receptor signaling. Overexpression or depletion of DLG4 changes the ratio of excitatory to inhibitory synapses in hippocampal neurons. May reduce the amplitude of ACCN3 acid-evoked currents by retaining the channel intracellularly. May regulate the intracellular trafficking of ADR1B. Subunit: Interacts with ANKS1B, KLHL17 and PRR7. Interacts through its PDZ domains with NETO1. Interacts through its first two PDZ domains with GRIN2A, GRIN2B, GRIN2C, GRIN2D, ACCN3, certain splice forms of GRIN1, KCND2, CXADR and SYNGAP1. Interacts through its second PDZ domain with the PDZ domain of NOS1 or the C-terminus of CAPON. May interact with HTR2A. Interacts through its guanylate kinase-like domain with DLGAP1/GKAP, DLGAP2, DLGAP3, DLGAP4, MAP1A and BEGAIN. Interacts through its third PDZ domain with CRIPT (By similarity). Interacts through its first two PDZ domains with KCNA1, KCNA2, KCNA3, KCNA4 and ERBB4. Interacts through its first PDZ domain with GRIK2, KCNA4 and CRIPT. Interacts through its third PDZ domain with NLGN1, and probably with NLGN2 and NLGN3. Interacts through its guanylate kinase-like domain with KIF13B. Isoform 2 interacts through an L27 domain with HGS/HRS and the first L27 domain of CASK. Interacts with LRFN1, LRFN2 and LRFN4. Interacts with ANO2, ADAM22 and LGI1. Interacts with FRMPD4 (via C-terminus). Interacts (via PDZ1 and PDZ2 domains) with LRRC4; LRRC4B and SEMA4C. Interacts (via guanylate kinase-like domain) with SIPA1L1. Subcellular Location: Cell membrane; Peripheral membrane protein. Cell junction, synapse, postsynaptic cell membrane, postsynaptic density. Cell junction, synapse. Cell junction, synapse, synaptosome (By similarity). Tissue Specificity: Brain. Similarity: Belongs to the MAGUK family. Contains 1 guanylate kinase-like domain. Contains 3 PDZ (DHR) domains. Contains 1 SH3 domain. SWISS: P78352 Gene ID: 1742 Database links: Entrez Gene: 1742 Human Entrez Gene: 13385 Mouse Omim: 602887 Human SwissProt: P78352 Human SwissProt: Q62108 Mouse Unigene: 463928 Human Unigene: 27256 Mouse Unigene: 9765 Rat Important Note: This product as supplied is intended for research use only, not for use in human, therapeutic or diagnostic applications. 该蛋白质PSD95能夠帮助建立神经突触的架构,并且促成突触其他部分的成熟,例如加強目标細胞上的glutamate受体的聚集、增加树突棘(dendritic spines)的数量和大小以及增加神神经传导物质glutamate (谷氨酸盐)释放的量。这种蛋白质与阿滋海默症有关。 |



