

货号
产品规格
售价
备注
BN40999R-100ul
100ul
¥2360.00
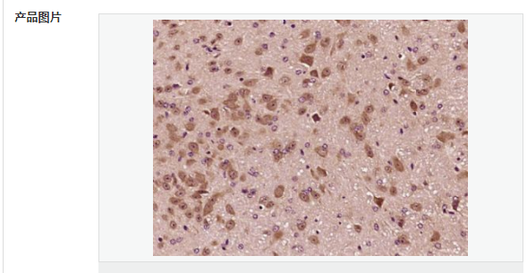
交叉反应:Mouse(predicted:Human,Rat,Chicken,Dog,Pig,Cow,Horse,Rabbit) 推荐应用:IHC-P,IHC-F,IF,ELISA
BN40999R-200ul
200ul
¥3490.00
交叉反应:Mouse(predicted:Human,Rat,Chicken,Dog,Pig,Cow,Horse,Rabbit) 推荐应用:IHC-P,IHC-F,IF,ELISA
产品描述
| 英文名称 | PAK6 |
| 中文名称 | P21蛋白激活的蛋白激酶6抗体 |
| 别 名 | CDKN1A activated kinase 6; Serine/threonine-protein kinase PAK 6; p21 activated protein kinase 6; p21 protein (Cdc42/Rac)-activated kinase 6; p21(CDKN1A) activated kinase 6; p21-ACTIVATED KINASE 6; p21activated kinase 6; PAK 5; PAK 6; PAK5; Serine threonine protein kinase PAK 6; Serine/threonine protein kinase PAK 6; Serine/threonine protein kinase PAK6; EC 2.7.1.37; PAK-5; PAK-6; Pak6; PAK6_HUMAN. |
| 研究领域 | 肿瘤 免疫学 信号转导 激酶和磷酸酶 |
| 抗体来源 | Rabbit |
| 克隆类型 | Polyclonal |
| 交叉反应 | Mouse, (predicted: Human, Rat, Chicken, Dog, Pig, Cow, Horse, Rabbit, ) |
| 产品应用 | ELISA=1:5000-10000 IHC-P=1:100-500 IHC-F=1:100-500 IF=1:100-500 (石蜡切片需做抗原修复) not yet tested in other applications. optimal dilutions/concentrations should be determined by the end user. |
| 分 子 量 | 75kDa |
| 细胞定位 | 细胞核 细胞浆 |
| 性 状 | Liquid |
| 浓 度 | 1mg/ml |
| 免 疫 原 | KLH conjugated synthetic peptide derived from human PAK6:511-610/681 |
| 亚 型 | IgG |
| 纯化方法 | affinity purified by Protein A |
| 储 存 液 | 0.01M TBS(pH7.4) with 1% BSA, 0.03% Proclin300 and 50% Glycerol. |
| 保存条件 | Shipped at 4℃. Store at -20 °C for one year. Avoid repeated freeze/thaw cycles. |
| PubMed | PubMed |
| 产品介绍 | This gene encodes a protein that shares a high degree of sequence similarity with p21-activated kinase (PAK) family members. The proteins of this family are Rac/Cdc42-associated Ste20-like Ser/Thr protein kinases, characterized by a highly conserved amino-terminal Cdc42/Rac interactive binding (CRIB) domain and a carboxyl-terminal kinase domain. PAK kinases are implicated in the regulation of a number of cellular processes, including cytoskeleton rearrangement, apoptosis and the MAP kinase signaling pathway. The protein encoded by this gene was found to interact with androgen receptor (AR), which is a steroid hormone-dependent transcription factor that is important for male sexual differentiation and development. The p21-activated protein kinase 6 gene was found to be highly expressed in testis and prostate tissues and the encoded protein was shown to cotranslocate into the nucleus with AR in response to androgen. Function: Serine/threonine protein kinase that plays a role in the regulation of gene transcription. The kinase activity is induced by various effectors including AR or MAP2K6/MAPKK6. Phosphorylates the DNA-binding domain of androgen receptor/AR and thereby inhibits AR-mediated transcription. Inhibits also ESR1-mediated transcription. May play a role in cytoskeleton regulation by interacting with IQGAP1. May protect cells from apoptosis through phosphorylation of BAD. Subunit: Interacts tightly with GTP-bound but not GDP-bound CDC42/p21 and RAC1. Interacts with the androgen receptor AR and the estrogen receptor ESR1. Interacts with IQGAP1 and PPM1B. Subcellular Location: Cytoplasm. Nucleus. Note=Cotranslocates into nucleus with AR in response to androgen induction. Tissue Specificity: Selectively expressed in brain and testis, with lower levels in multiple tissues including prostate and breast. Post-translational modifications: Autophosphorylated. Phosphorylated by MAP2K6//MAPKK6, leading to PAK6 activation. Similarity: Belongs to the protein kinase superfamily. STE Ser/Thr protein kinase family. STE20 subfamily. Contains 1 CRIB domain. Contains 1 protein kinase domain. SWISS: Q9NQU5 Gene ID: 56924 Database links: Entrez Gene: 56924 Human Omim: 608110 Human SwissProt: Q9NQU5 Human Unigene: 513645 Human Important Note: This product as supplied is intended for research use only, not for use in human, therapeutic or diagnostic applications. |
