

货号
产品规格
售价
备注
BN41010R-100ul
100ul
¥2360.00
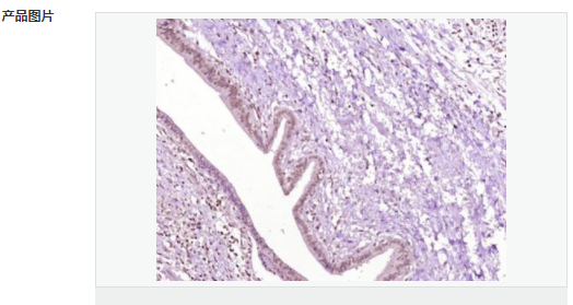
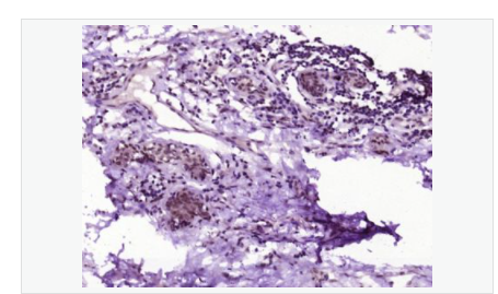
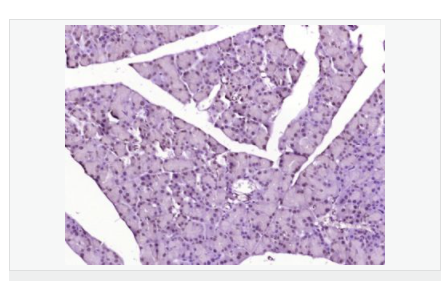
交叉反应:Human,Rat(predicted:Mouse,Dog,Pig,Cow,Horse,Rabbit) 推荐应用:WB,IHC-P,IHC-F,IF,ELISA
BN41010R-200ul
200ul
¥3490.00
交叉反应:Human,Rat(predicted:Mouse,Dog,Pig,Cow,Horse,Rabbit) 推荐应用:WB,IHC-P,IHC-F,IF,ELISA
产品描述
| 英文名称 | TBRG1 |
| 中文名称 | 转化生长因子β调节蛋白1抗体 |
| 别 名 | NIAM; Nuclear interactor of ARF and Mdm2; Transforming growth factor beta regulator 1; TBRG1; TBRG-1; TBRG 1; Transforming growth factor beta regulator 1. |
| 研究领域 | 肿瘤 细胞生物 免疫学 染色质和核信号 细胞周期蛋白 |
| 抗体来源 | Rabbit |
| 克隆类型 | Polyclonal |
| 交叉反应 | Human, Rat, (predicted: Mouse, Dog, Pig, Cow, Horse, Rabbit, ) |
| 产品应用 | WB=1:500-2000 ELISA=1:5000-10000 IHC-P=1:100-500 IHC-F=1:100-500 IF=1:100-500 (石蜡切片需做抗原修复) not yet tested in other applications. optimal dilutions/concentrations should be determined by the end user. |
| 分 子 量 | 45kDa |
| 细胞定位 | 细胞核 |
| 性 状 | Liquid |
| 浓 度 | 1mg/ml |
| 免 疫 原 | KLH conjugated synthetic peptide derived from human TBRG1:28-130/411 |
| 亚 型 | IgG |
| 纯化方法 | affinity purified by Protein A |
| 储 存 液 | 0.01M TBS(pH7.4) with 1% BSA, 0.03% Proclin300 and 50% Glycerol. |
| 保存条件 | Shipped at 4℃. Store at -20 °C for one year. Avoid repeated freeze/thaw cycles. |
| PubMed | PubMed |
| 产品介绍 | Acts as a growth inhibitor. Can activate TP53/p53, causes G1 arrest and collaborates with CDKN2A to restrict proliferation, but does not require either protein to inhibit DNA synthesis. Redistributes CDKN2A into the nucleoplasm. Involved in maintaining chromosomal stability. There are two isoforms. Function: Acts as a growth inhibitor. Can activate p53/TP53, causes G1 arrest and collaborates with CDKN2A to restrict proliferation, but does not require either protein to inhibit DNA synthesis. Redistributes CDKN2A into the nucleoplasm. Involved in maintaining chromosomal stability. Subunit: Interacts with CDKN2A and MDM2. Subcellular Location: Nucleus. Tissue Specificity: Widely expressed at low levels in most tissues, with highest levels in pancreas, lung and liver. Expression is decreased in primary tumors including lung, liver, breast, pancreas and kidney carcinomas, chronic lymphocytic leukemia and diffuse large B-cell lymphoma. Post-translational modifications: Ubiquitinated; mediated by MDM2 and leading to its subsequent proteasomal degradation. Similarity: Belongs to the TBRG1 family. Contains 1 FYR C-terminal domain. Contains 1 FYR N-terminal domain. SWISS: Q3YBR2 Gene ID: 84897 Database links: Entrez Gene: 84897 Human Entrez Gene: 21376 Mouse Omim: 610614 Human SwissProt: Q3YBR2 Human SwissProt: Q3UB74 Mouse Unigene: 436410 Human Unigene: 28689 Mouse Unigene: 129282 Rat Important Note: This product as supplied is intended for research use only, not for use in human, therapeutic or diagnostic applications. |


