

货号
产品规格
售价
备注
BN41017R-100ul
100ul
¥2360.00
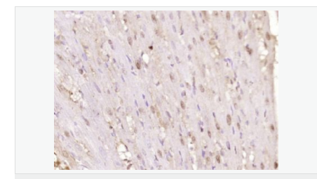
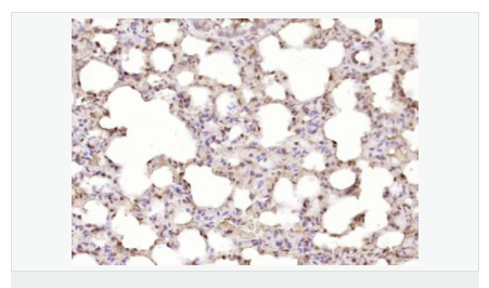
交叉反应:Mouse,Rat(predicted:Human,Dog,Pig,Cow,Horse,Rabbit) 推荐应用:WB,IHC-P,IHC-F,IF,ELISA
BN41017R-200ul
200ul
¥3490.00
交叉反应:Mouse,Rat(predicted:Human,Dog,Pig,Cow,Horse,Rabbit) 推荐应用:WB,IHC-P,IHC-F,IF,ELISA
产品描述
| 英文名称 | HSPB2 |
| 中文名称 | 热休克蛋白B2抗体 |
| 别 名 | DMPK-binding protein; Heat shock 27kD protein 2; Heat shock 27kDa protein 2; Heat shock protein beta-2; Heat-shock protein beta-2; Hs.78846; HSP27; HspB2; HSPB2_HUMAN; LOH11CR1K; MGC133245; MKBP. |
| 研究领域 | 肿瘤 细胞生物 免疫学 信号转导 |
| 抗体来源 | Rabbit |
| 克隆类型 | Polyclonal |
| 交叉反应 | Mouse, Rat, (predicted: Human, Dog, Pig, Cow, Horse, Rabbit, ) |
| 产品应用 | WB=1:500-2000 ELISA=1:5000-10000 IHC-P=1:100-500 IHC-F=1:100-500 IF=1:50-200 (石蜡切片需做抗原修复) not yet tested in other applications. optimal dilutions/concentrations should be determined by the end user. |
| 分 子 量 | 20kDa |
| 细胞定位 | 细胞核 细胞浆 |
| 性 状 | Liquid |
| 浓 度 | 1mg/ml |
| 免 疫 原 | KLH conjugated synthetic peptide derived from human HSPB2:101-182/182 |
| 亚 型 | IgG |
| 纯化方法 | affinity purified by Protein A |
| 储 存 液 | 0.01M TBS(pH7.4) with 1% BSA, 0.03% Proclin300 and 50% Glycerol. |
| 保存条件 | Shipped at 4℃. Store at -20 °C for one year. Avoid repeated freeze/thaw cycles. |
| PubMed | PubMed |
| 产品介绍 | The heat shock proteins (HSPs) comprise a group of highly conserved, abundantly expressed proteins with diverse functions, including the assembly and sequestering of multi-protein complexes, transportation of nascent polypeptide chains across cellular membranes and regulation of protein folding. HSPB2 (heat shock 27 kDa protein 2), also known as HSP 27 or MKBP, is a 182 amino acid protein that belongs to the heat shock protein family and is expressed preferentially in heart and skeletal muscle. Localized to mitochondria, HSPB2 functions as an ATP-dependent chaperone protein that plays a role in the refolding of denatured proteins and may also interact with the Actin cytoskeleton and prevent apoptotic cell death. HSPB2 is abundantly expressed in several cancer cell lines, suggesting that HSPB2 may be an important factor in tumor transformation and metastasis. Function: May regulate the kinase DMPK. Subunit: Interacts with DMPK; may enhance its kinase activity. Subcellular Location: Cytoplasm. Nucleus. Localizes to nuclear foci. Tissue Specificity: Expressed preferentially in skeletal muscle and heart. Similarity: Belongs to the small heat shock protein (HSP20) family. SWISS: Q16082 Gene ID: 3316 Database links: Entrez Gene: 3316 Human Entrez Gene: 69253 Mouse Omim: 602179 Human SwissProt: Q16082 Human SwissProt: Q99PR8 Mouse Unigene: 709660 Human Unigene: 1980 Mouse Unigene: 22486 Rat Important Note: This product as supplied is intended for research use only, not for use in human, therapeutic or diagnostic applications. |


