

货号
产品规格
售价
备注
BN41135R-100ul
100ul
¥2470.00
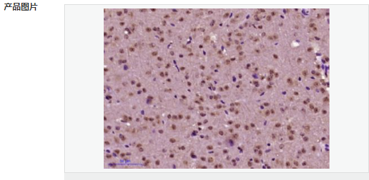
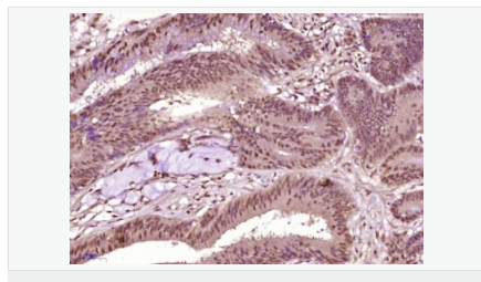
交叉反应:Human,Mouse(predicted:Rat,Horse,Rabbit) 推荐应用:IHC-P,IHC-F,IF,ELISA
产品描述
| 英文名称 | phospho-NF1 (Ser2515) |
| 中文名称 | 磷酸化1型神经纤维瘤抗体 |
| 别 名 | NF1(phospho S2515); NF1(phospho Ser2515); p-NF1(S2515); DKFZp686J1293; FLJ21220; Neurofibromatosis Noonan syndrome; Neurofibromatosis related protein NF 1; Neurofibromatosis related protein NF1; neurofibromatosis type I; Neurofibromatosis-related protein NF-1; Neurofibromin 1; Neurofibromin truncated; Neurofibromin1; NF 1; NF; NF1; NF1_HUMAN; NFNS; Type 1 Neurofibromatosis; von Recklinghausen disease neurofibromin; von Recklinghausen disease related protein VRNF; VRNF; WATS; Watson disease related protein WSS; Watson syndrome; WSS. |
| 产品类型 | 磷酸化抗体 |
| 研究领域 | 肿瘤 细胞生物 免疫学 染色质和核信号 神经生物学 信号转导 表观遗传学 G蛋白信号 |
| 抗体来源 | Rabbit |
| 克隆类型 | Polyclonal |
| 交叉反应 | Human, Mouse, (predicted: Rat, Horse, Rabbit, ) |
| 产品应用 | ELISA=1:5000-10000 IHC-P=1:100-500 IHC-F=1:100-500 IF=1:100-500 (石蜡切片需做抗原修复) not yet tested in other applications. optimal dilutions/concentrations should be determined by the end user. |
| 分 子 量 | 147/319kDa |
| 细胞定位 | 细胞核 |
| 性 状 | Liquid |
| 浓 度 | 1mg/ml |
| 免 疫 原 | KLH conjugated Synthesised phosphopeptide derived from human NF1 around the phosphorylation site of Ser2515:QT(p-S)PR |
| 亚 型 | IgG |
| 纯化方法 | affinity purified by Protein A |
| 储 存 液 | 0.01M TBS(pH7.4) with 1% BSA, 0.03% Proclin300 and 50% Glycerol. |
| 保存条件 | Shipped at 4℃. Store at -20 °C for one year. Avoid repeated freeze/thaw cycles. |
| PubMed | PubMed |
| 产品介绍 | Neurofibromin is a product of the tumor suppressor gene, Neurofibromatosis type I. Neurofibromin is known to have GTPase activity that modulates the ras pathway. The absence of or alteration of the neurofibromin protein may lead to Neurofibromatosis disease. This protein has not been purified, therefore, most of the information regarding this protein has been deduced from homology analysis of its gene sequence. Function: Stimulates the GTPase activity of Ras. NF1 shows greater affinity for Ras GAP, but lower specific activity. May be a regulator of Ras activity. DISEASE: Neurofibromatosis 1 (NF1) [MIM:162200]: A disease characterized by patches of skin pigmentation (cafe-au-lait spots), Lisch nodules of the iris, tumors in the peripheral nervous system and fibromatous skin tumors. Individuals with the disorder have increased susceptibility to the development of benign and malignant tumors. Note=The disease is caused by mutations affecting the gene represented in this entry. Leukemia, juvenile myelomonocytic (JMML) [MIM:607785]: An aggressive pediatric myelodysplastic syndrome/myeloproliferative disorder characterized by malignant transformation in the hematopoietic stem cell compartment with proliferation of differentiated progeny. Patients have splenomegaly, enlarged lymph nodes, rashes, and hemorrhages. Note=The disease is caused by mutations affecting the gene represented in this entry. Watson syndrome (WS) [MIM:193520]: A syndrome characterized by the presence of pulmonary stenosis, cafe-au-lait spots, and mental retardation. It is considered as an atypical form of neurofibromatosis. Note=The disease is caused by mutations affecting the gene represented in this entry. Familial spinal neurofibromatosis (FSNF) [MIM:162210]: Considered to be an alternative form of neurofibromatosis, showing multiple spinal tumors. Note=The disease is caused by mutations affecting the gene represented in this entry. Neurofibromatosis-Noonan syndrome (NFNS) [MIM:601321]: Characterized by manifestations of both NF1 and Noonan syndrome (NS). NS is a disorder characterized by dysmorphic facial features, short stature, hypertelorism, cardiac anomalies, deafness, motor delay, and a bleeding diathesis. Note=The disease is caused by mutations affecting the gene represented in this entry. Colorectal cancer (CRC) [MIM:114500]: A complex disease characterized by malignant lesions arising from the inner wall of the large intestine (the colon) and the rectum. Genetic alterations are often associated with progression from premalignant lesion (adenoma) to invasive adenocarcinoma. Risk factors for cancer of the colon and rectum include colon polyps, long-standing ulcerative colitis, and genetic family history. Note=The gene represented in this entry may be involved in disease pathogenesis. Similarity: Contains 1 CRAL-TRIO domain. Contains 1 Ras-GAP domain. SWISS: P21359 Gene ID: 4763 Database links: Entrez Gene: 4763 Human Entrez Gene: 18015 Mouse Omim: 613113 Human SwissProt: P21359 Human SwissProt: Q04690 Mouse Unigene: 113577 Human Unigene: 255596 Mouse Unigene: 10686 Rat Important Note: This product as supplied is intended for research use only, not for use in human, therapeutic or diagnostic application |

