

货号
产品规格
售价
备注
BN41151R-100ul
100ul
¥2470.00
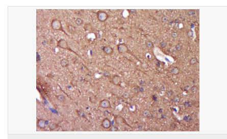
交叉反应:Human,Mouse,Rat(predicted:Dog,Pig,Cow,Horse,Rabbit,Sheep) 推荐应用:WB,IHC-P,IHC-F,IF,Flow-Cyt,ELISA
产品描述
| 英文名称 | phospho-Alpha synuclein (Ser129) |
| 中文名称 | 磷酸化核突触蛋白α抗体 |
| 别 名 | SNCA(phospho S129); alpha Synuclein (phospho S129) ;alpha-Synuclein (Phospho-Ser129); Synuclein alpha(Phospho-Ser129); SNCA; SYUA_HUMAN; Alpha synuclein; Alpha-synuclein, isoform NACP140; alpha SYN; MGC105443; MGC110988; MGC127560; MGC64356; NACP; Non A beta component of AD amyloid; Non A4 component of amyloid precursor; Non-A-beta component of alzheimers disease amyloid , precursor of; Non-A beta component of AD amyloid; Non-A4 component of amyloid precursor; PARK 1; PARK 4; PARK1; PARK4; Parkinson disease (autosomal dominant, Lewy body) 4; Parkinson disease familial 1; Syn; Snca synuclein, alpha (non A4 component of amyloid precursor); Synuclein alpha; Synuclein, alpha (non A4 component of amyloid precursor); Synuclein-α; Synuclein α. |
| 产品类型 | 磷酸化抗体 |
| 研究领域 | 免疫学 神经生物学 信号转导 细胞凋亡 转录调节因子 细胞骨架 |
| 抗体来源 | Rabbit |
| 克隆类型 | Polyclonal |
| 交叉反应 | Human, Mouse, Rat, (predicted: Dog, Pig, Cow, Horse, Rabbit, Sheep, ) |
| 产品应用 | WB=1:500-2000 ELISA=1:5000-10000 IHC-P=1:100-500 IHC-F=1:100-500 Flow-Cyt=1ug/Test IF=1:100-500 (石蜡切片需做抗原修复) not yet tested in other applications. optimal dilutions/concentrations should be determined by the end user. |
| 分 子 量 | 15kDa |
| 细胞定位 | 细胞核 细胞浆 细胞膜 |
| 性 状 | Liquid |
| 浓 度 | 1mg/ml |
| 免 疫 原 | KLH conjugated Synthesised phosphopeptide derived from human SNCA around the phosphorylation site of Ser129:MP(p-S)EE |
| 亚 型 | IgG |
| 纯化方法 | affinity purified by Protein A |
| 储 存 液 | 0.01M TBS(pH7.4) with 1% BSA, 0.03% Proclin300 and 50% Glycerol. |
| 保存条件 | Shipped at 4℃. Store at -20 °C for one year. Avoid repeated freeze/thaw cycles. |
| PubMed | PubMed |
| 产品介绍 | Alpha-synuclein is a member of the synuclein family, which also includes beta- and gamma-synuclein. Synucleins are abundantly expressed in the brain and alpha- and beta-synuclein inhibit phospholipase D2 selectively. SNCA may serve to integrate presynaptic signaling and membrane trafficking. Defects in SNCA have been implicated in the pathogenesis of Parkinson disease. SNCA peptides are a major component of amyloid plaques in the brains of patients with Alzheimer's disease. Alternatively spliced transcripts encoding different isoforms have been identified for this gene. [provided by RefSeq, Feb 2016].. Function: May be involved in the regulation of dopamine release and transport. Induces fibrillization of microtubule-associated protein tau. Reduces neuronal responsiveness to various apoptotic stimuli, leading to a decreased caspase-3 activation. Subunit: Soluble monomer which can form filamentous aggregates. Interacts with UCHL1. Interacts with phospholipase D and histones. Subcellular Location: Cytoplasm. Membrane. Nucleus. Cell junction, synapse. Note=Membrane-bound in dopaminergic neurons. Tissue Specificity: Expressed principally in brain but is also expressed in low concentrations in all tissues examined except in liver. Concentrated in presynaptic nerve terminals. Post-translational modifications: Note=Genetic alterations of SNCA resulting in aberrant polymerization into fibrils, are associated with several neurodegenerative diseases (synucleinopathies). SNCA fibrillar aggregates represent the major non A-beta component of Alzheimer disease amyloid plaque, and a major component of Lewy body inclusions. They are also found within Lewy body (LB)-like intraneuronal inclusions, glial inclusions and axonal spheroids in neurodegeneration with brain iron accumulation type 1. Defects in SNCA are the cause of Parkinson disease type 1 (PARK1) [MIM:168601]. A complex neurodegenerative disorder characterized by bradykinesia, resting tremor, muscular rigidity and postural instability. Additional features are characteristic postural abnormalities, dysautonomia, dystonic cramps, and dementia. The pathology of Parkinson disease involves the loss of dopaminergic neurons in the substantia nigra and the presence of Lewy bodies (intraneuronal accumulations of aggregated proteins), in surviving neurons in various areas of the brain. The disease is progressive and usually manifests after the age of 50 years, although early-onset cases (before 50 years) are known. The majority of the cases are sporadic suggesting a multifactorial etiology based on environmental and genetic factors. However, some patients present with a positive family history for the disease. Familial forms of the disease usually begin at earlier ages and are associated with atypical clinical features. Defects in SNCA are the cause of Parkinson disease type 4 (PARK4) [MIM:605543]. A complex neurodegenerative disorder with manifestations ranging from typical Parkinson disease to dementia with Lewy bodies. Clinical features include parkinsonian symptoms (tremor, rigidity, postural instability and bradykinesia), dementia, diffuse Lewy body pathology, autonomic dysfunction, hallucinations and paranoia. Defects in SNCA are the cause of dementia Lewy body (DLB) [MIM:127750]. A neurodegenerative disorder clinically characterized by mental impairment leading to dementia, parkinsonism, often with fluctuating cognitive function, visual hallucinations, falls, syncopal episodes, and sensitivity to neuroleptic medication. Brainstem or cortical intraneuronal accumulations of aggregated proteins (Lewy bodies) are the only essential pathologic features. Patients may also have hippocampal and neocortical senile plaques, sometimes in sufficient number to fulfill the diagnostic criteria for Alzheimer disease. DISEASE: Note=Genetic alterations of SNCA resulting in aberrant polymerization into fibrils, are associated with several neurodegenerative diseases (synucleinopathies). SNCA fibrillar aggregates represent the major non A-beta component of Alzheimer disease amyloid plaque, and a major component of Lewy body inclusions. They are also found within Lewy body (LB)-like intraneuronal inclusions, glial inclusions and axonal spheroids in neurodegeneration with brain iron accumulation type 1. Defects in SNCA are the cause of Parkinson disease type 1 (PARK1) [MIM:168601]. A complex neurodegenerative disorder characterized by bradykinesia, resting tremor, muscular rigidity and postural instability. Additional features are characteristic postural abnormalities, dysautonomia, dystonic cramps, and dementia. The pathology of Parkinson disease involves the loss of dopaminergic neurons in the substantia nigra and the presence of Lewy bodies (intraneuronal accumulations of aggregated proteins), in surviving neurons in various areas of the brain. The disease is progressive and usually manifests after the age of 50 years, although early-onset cases (before 50 years) are known. The majority of the cases are sporadic suggesting a multifactorial etiology based on environmental and genetic factors. However, some patients present with a positive family history for the disease. Familial forms of the disease usually begin at earlier ages and are associated with atypical clinical features. Defects in SNCA are the cause of Parkinson disease type 4 (PARK4) [MIM:605543]. A complex neurodegenerative disorder with manifestations ranging from typical Parkinson disease to dementia with Lewy bodies. Clinical features include parkinsonian symptoms (tremor, rigidity, postural instability and bradykinesia), dementia, diffuse Lewy body pathology, autonomic dysfunction, hallucinations and paranoia. Defects in SNCA are the cause of dementia Lewy body (DLB) [MIM:127750]. A neurodegenerative disorder clinically characterized by mental impairment leading to dementia, parkinsonism, often with fluctuating cognitive function, visual hallucinations, falls, syncopal episodes, and sensitivity to neuroleptic medication. Brainstem or cortical intraneuronal accumulations of aggregated proteins (Lewy bodies) are the only essential pathologic features. Patients may also have hippocampal and neocortical senile plaques, sometimes in sufficient number to fulfill the diagnostic criteria for Alzheimer disease. Similarity: Belongs to the synuclein family. SWISS: P37840 Gene ID: 6622 Database links: Entrez Gene: 6622 Human Entrez Gene: 20617 Mouse Omim: 163890 Human SwissProt: P37840 Human SwissProt: O55042 Mouse Unigene: 21374 Human Unigene: 17484 Mouse Unigene: 1827 Rat Important Note: This product as supplied is intended for research use only, not for use in human, therapeutic or diagnostic applications. Synuclein 包括α-Synuclein,β-Synuclein 和γ-Synuclein 是神经细胞中富含的前突触蛋白。α-Synuclein,Alzheimer’(AD)病淀粉样蛋白沉积的成份之一,集中分布在神经细胞的包体和突触。在帕金森病人中发现有α-Synuclein的变异型,而γ-Synuclein与轴突病理学有关。此抗体将为Lewy小体痴呆症、Parkinson症、AD和其它一些神经性疾病提供有用的病理诊断。 |







