

货号
产品规格
售价
备注
BN41159R-100ul
100ul
¥2470.00
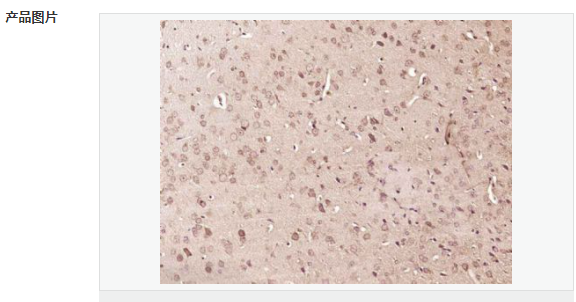
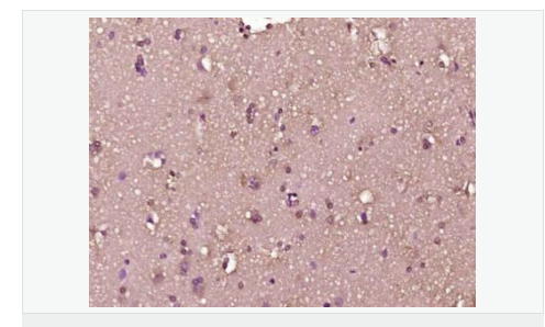
交叉反应:Human,Mouse,Rat(predicted:Dog,Pig,Cow) 推荐应用:IHC-P,IHC-F,IF,ELISA
产品描述
| 英文名称 | phospho-RPS6KA1 (Thr348) |
| 中文名称 | 磷酸化磷酸化丝氨酸/苏氨酸激酶p90RSK蛋白抗体 |
| 别 名 | p90RSK(Phospho-Thr348); RPS6KA1(phospho T348); p90 RSK1 ; p90rsk ; p90S6K ; pp90RSK1 ; Ribosomal protein S6 kinase 90kD 1 ; Ribosomal protein S6 kinase 90kD polypeptide 1 ; Ribosomal protein S6 kinase 90kDa polypeptide 1 ; Ribosomal protein S6 kinase alpha 1 ; Ribosomal protein S6 kinase polypeptide 1 ; Ribosomal S6 kinase 1 ; RPS6K1 alpha ; rps6ka ; Rps6ka1 ; RSK 1 ; RSK 1 p90 ; RSK ; RSK1 ; S6K alpha 1 ; 90 kDa ribosomal protein S6 kinase 1 ; dJ590P13.1 (ribosomal protein S6 kinase, 90kD, polypeptide 1 ; dJ590P13.1 ; EC 2.7.11.1 ; HU 1 ; HU1 ; MAP kinase activated protein kinase 1a ; MAPKAP kinase 1A ; MAPKAPK1A ; MGC79981 ; Mitogen-activated protein kinase-activated protein kinase 1A; KS6A1_HUMAN. |
| 产品类型 | 磷酸化抗体 |
| 研究领域 | 肿瘤 细胞生物 免疫学 信号转导 转录调节因子 激酶和磷酸酶 |
| 抗体来源 | Rabbit |
| 克隆类型 | Polyclonal |
| 交叉反应 | Human, Mouse, Rat, (predicted: Dog, Pig, Cow, ) |
| 产品应用 | ELISA=1:5000-10000 IHC-P=1:100-500 IHC-F=1:100-500 IF=1:100-500 (石蜡切片需做抗原修复) not yet tested in other applications. optimal dilutions/concentrations should be determined by the end user. |
| 分 子 量 | 81kDa |
| 细胞定位 | 细胞核 细胞浆 |
| 性 状 | Liquid |
| 浓 度 | 1mg/ml |
| 免 疫 原 | KLH conjugated Synthesised phosphopeptide derived from human RPS6KA1 around the phosphorylation site of Thr348:DD(p-T)FY |
| 亚 型 | IgG |
| 纯化方法 | affinity purified by Protein A |
| 储 存 液 | 0.01M TBS(pH7.4) with 1% BSA, 0.03% Proclin300 and 50% Glycerol. |
| 保存条件 | Shipped at 4℃. Store at -20 °C for one year. Avoid repeated freeze/thaw cycles. |
| PubMed | PubMed |
| 产品介绍 | Rsk1 is a member of a family of 90kDa ribosomal protein S6 kinases, which includes Rsk1, Rsk2 and Rsk3. These are broadly expressed serine/threonine protein kinases activated in response to mitogenic stimuli, including extracellular signal regulated protein kinases Erk1 and Erk2. Rsk1 is activated by MAPK in vitro and in vivo via phosphorylation. Active Rsks appear to play a major role in transcriptional regulation by translocating to the nucleus and phosphorylating c Fos and CREB. Function: Serine/threonine-protein kinase that acts downstream of ERK (MAPK1/ERK2 and MAPK3/ERK1) signaling and mediates mitogenic and stress-induced activation of the transcription factors CREB1, ETV1/ER81 and NR4A1/NUR77, regulates translation through RPS6 and EIF4B phosphorylation, and mediates cellular proliferation, survival, and differentiation by modulating mTOR signaling and repressing pro-apoptotic function of BAD and DAPK1. In fibroblast, is required for EGF-stimulated phosphorylation of CREB1, which results in the subsequent transcriptional activation of several immediate-early genes. In response to mitogenic stimulation (EGF and PMA), phosphorylates and activates NR4A1/NUR77 and ETV1/ER81 transcription factors and the cofactor CREBBP. Upon insulin-derived signal, acts indirectly on the transcription regulation of several genes by phosphorylating GSK3B at 'Ser-9' and inhibiting its activity. Phosphorylates RPS6 in response to serum or EGF via an mTOR-independent mechanism and promotes translation initiation by facilitating assembly of the preinitiation complex. In response to insulin, phosphorylates EIF4B, enhancing EIF4B affinity for the EIF3 complex and stimulating cap-dependent translation. Is involved in the mTOR nutrient-sensing pathway by directly phosphorylating TSC2 at 'Ser-1798', which potently inhibits TSC2 ability to suppress mTOR signaling, and mediates phosphorylation of RPTOR, which regulates mTORC1 activity and may promote rapamycin-sensitive signaling independently of the PI3K/AKT pathway. Mediates cell survival by phosphorylating the pro-apoptotic proteins BAD and DAPK1 and suppressing their pro-apoptotic function. Promotes the survival of hepatic stellate cells by phosphorylating CEBPB in response to the hepatotoxin carbon tetrachloride (CCl4). Is involved in cell cycle regulation by phosphorylating the CDK inhibitor CDKN1B, which promotes CDKN1B association with 14-3-3 proteins and prevents its translocation to the nucleus and inhibition of G1 progression. Subunit: Forms a complex with either MAPK1/ERK2 or MAPK3/ERK1 in quiescent cells. Transiently dissociates following mitogenic stimulation. Interacts with ETV1/ER81 and FGFR1. Subcellular Location: Nucleus. Cytoplasm. Post-translational modifications: Activated by phosphorylation at Ser-221 by PDPK1. Autophosphorylated on Ser-380, as part of the activation process. May be phosphorylated at Thr-359 and Ser-363 by MAPK1/ERK2 and MAPK3/ERK1. N-terminal myristoylation results in an activated kinase in the absence of added growth factors. Similarity: Belongs to the protein kinase superfamily. AGC Ser/Thr protein kinase family. S6 kinase subfamily. Contains 1 AGC-kinase C-terminal domain. Contains 2 protein kinase domains. SWISS: Q15418 Gene ID: 6195 Database links: Entrez Gene: 6195 Human Entrez Gene: 20111 Mouse Omim: 601684 Human SwissProt: Q15418 Human SwissProt: P18653 Mouse Unigene: 149957 Human Unigene: 301827 Mouse Unigene: 34915 Rat Important Note: This product as supplied is intended for research use only, not for use in human, therapeutic or diagnostic applications. p90RSK蛋白属于广泛表达的丝氨酸/苏氨酸激酶。RSK家族包括RSK1、RSK2、RSK3和RSK4,它们的典型特征是含有两个不同的功能性激酶结构域和羧基端ERKs(extracellular signal-regulated kinases)结合结构域。RSK激酶结构域内外的几个位点包括Ser380、Thr359、Ser363和Thr573的磷酸化都对RSK的激酶活性激活非常重要。 RSK1-3可被MAPKs所磷酸化激活,也可以通过自身磷酸化激活,还可被一些生长因子或神经递质等诱导激活的PI3K信号通路所激活。RSK在被MAPK磷酸化激活时,是由Ras、Raf-1、MAP kinase kinase(MEK)和MAP kinase信号通路所介导。PI3K诱导的RSK1激活是由丝氨酸/苏氨酸激酶mTOR介导的。 RSK1在葡萄糖稳态调控和细胞大小的调控中起重要作用。RSK可以磷酸化并调节转录因子c-fos和糖原合成酶激酶3(GSK3,glycogen synthase kinase 3)的活性。有报道RSK1可以和MAPK1、IκBα、TOB和TSC2等相互作用。RSK可以在有丝分裂信号刺激下会转位到细胞核内。 |


