

货号
产品规格
售价
备注
BN41175R-100ul
100ul
¥2360.00
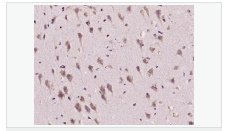
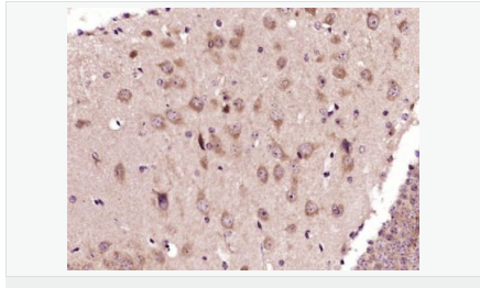
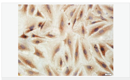
交叉反应:Human,Mouse,Rat(predicted:Dog,Rabbit,GuineaPig) 推荐应用:WB,IHC-P,IHC-F,ICC,IF,Flow-Cyt
BN41175R-200ul
200ul
¥3490.00
交叉反应:Human,Mouse,Rat(predicted:Dog,Rabbit,GuineaPig) 推荐应用:WB,IHC-P,IHC-F,ICC,IF,Flow-Cyt
产品描述
| 英文名称 | ADORA2B |
| 中文名称 | 腺苷A2b受体/神经生长因子1受体抗体 |
| 别 名 | Adenosine A2b Receptor; adora 2; adora 2b; ADORA2; ADORA2B; HGNC:264; Netrin 1 receptor; AA2BR_HUMAN. |
| 研究领域 | 肿瘤 心血管 免疫学 染色质和核信号 信号转导 G蛋白偶联受体 |
| 抗体来源 | Rabbit |
| 克隆类型 | Polyclonal |
| 交叉反应 | Human, Mouse, Rat, (predicted: Dog, Rabbit, Guinea Pig, ) |
| 产品应用 | WB=1:500-2000 IHC-P=1:100-500 IHC-F=1:100-500 Flow-Cyt=3ug/test ICC=1:100-500 IF=1:100-500 (石蜡切片需做抗原修复) not yet tested in other applications. optimal dilutions/concentrations should be determined by the end user. |
| 分 子 量 | 37kDa |
| 细胞定位 | 细胞膜 |
| 性 状 | Liquid |
| 浓 度 | 1mg/ml |
| 免 疫 原 | KLH conjugated synthetic peptide derived from human ADORA2B:101-200/332 <Extracellular> |
| 亚 型 | IgG |
| 纯化方法 | affinity purified by Protein A |
| 储 存 液 | 0.01M TBS(pH7.4) with 1% BSA, 0.03% Proclin300 and 50% Glycerol. |
| 保存条件 | Shipped at 4℃. Store at -20 °C for one year. Avoid repeated freeze/thaw cycles. |
| PubMed | PubMed |
| 产品介绍 | This gene encodes an adenosine receptor that is a member of the G protein-coupled receptor superfamily. This integral membrane protein stimulates adenylate cyclase activity in the presence of adenosine. This protein also interacts with netrin-1, which is involved in axon elongation. The gene is located near the Smith-Magenis syndrome region on chromosome 17. [provided by RefSeq, Jul 2008]. Function: Receptor for adenosine. The activity of this receptor is mediated by G proteins which activate adenylyl cyclase. Subcellular Location: Cell membrane; Multi-pass membrane protein. Similarity: Belongs to the G-protein coupled receptor 1 family. SWISS: P29275 Gene ID: 136 Database links: Entrez Gene: 136 Human Omim: 600446 Human SwissProt: P29275 Human Unigene: 167046 Human Important Note: This product as supplied is intended for research use only, not for use in human, therapeutic or diagnostic applications. |





