

货号
产品规格
售价
备注
BN41203R-100ul
100ul
¥2360.00
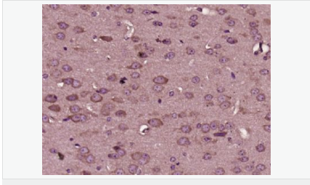
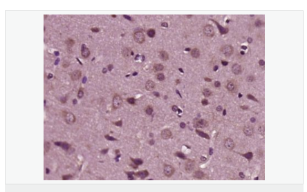
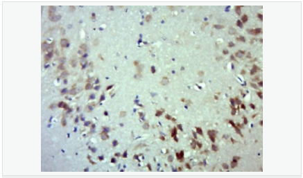
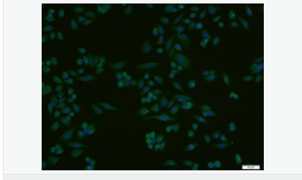
交叉反应:Rat,Mouse,Human(predicted:Rabbit) 推荐应用:WB,IHC-P,IHC-F,ICC,IF,ELISA
BN41203R-200ul
200ul
¥3490.00
交叉反应:Rat,Mouse,Human(predicted:Rabbit) 推荐应用:WB,IHC-P,IHC-F,ICC,IF,ELISA
产品描述
| 英文名称 | HRG beta 1 |
| 中文名称 | 乳腺癌细胞分化因子P45抗体 |
| 别 名 | Neuregulin 1; GGF2; Acetylcholine receptor inducing activity; ARIA; Breast cancer cell differentiation factor p45; GGF; glial growth factor; Heregulin; Heregulin beta1; heregulin, alpha (45kD, ERBB2 p185 activator); HGL; HRG; HRG beta 1A; HRG1; HRGA; NDF; neu differentiation factor; NRG1; sensory and motor neuron derived factor; SMDF; NRG1_HUMAN. |
| 研究领域 | 肿瘤 神经生物学 信号转导 |
| 抗体来源 | Rabbit |
| 克隆类型 | Polyclonal |
| 交叉反应 | Human, Mouse, Rat, (predicted: Rabbit, ) |
| 产品应用 | WB=1:500-2000 ELISA=1:5000-10000 IHC-P=1:100-500 IHC-F=1:100-500 ICC=1:100-500 IF=1:200-800 (石蜡切片需做抗原修复) not yet tested in other applications. optimal dilutions/concentrations should be determined by the end user. |
| 分 子 量 | 70kDa |
| 细胞定位 | 细胞核 细胞膜 分泌型蛋白 |
| 性 状 | Liquid |
| 浓 度 | 1mg/ml |
| 免 疫 原 | KLH conjugated synthetic peptide derived from human Neuregulin 1:65-150/640 <Extracellular> |
| 亚 型 | IgG |
| 纯化方法 | affinity purified by Protein A |
| 储 存 液 | 0.01M TBS(pH7.4) with 1% BSA, 0.03% Proclin300 and 50% Glycerol. |
| 保存条件 | Shipped at 4℃. Store at -20 °C for one year. Avoid repeated freeze/thaw cycles. |
| PubMed | PubMed |
| 产品介绍 | The protein encoded by this gene is a membrane glycoprotein that that mediates cell-cell signaling and plays a critical role in the growth and development of multiple organ systems. An extraordinary variety of different isoforms are produced from this gene through alternative promoter usage and splicing. These isoforms are expressed in a tissue-specific manner and differ significantly in their structure, and are classified as types I, II, III, IV, V and VI. Dysregulation of this gene has been linked to diseases such as cancer, schizophrenia, and bipolar disorder (BPD). [provided by RefSeq, Jun 2014] Function: Direct ligand for ERBB3 and ERBB4 tyrosine kinase receptors. Concomitantly recruits ERBB1 and ERBB2 coreceptors, resulting in ligand-stimulated tyrosine phosphorylation and activation of the ERBB receptors. The multiple isoforms perform diverse functions such as inducing growth and differentiation of epithelial, glial, neuronal, and skeletal muscle cells; inducing expression of acetylcholine receptor in synaptic vesicles during the formation of the neuromuscular junction; stimulating lobuloalveolar budding and milk production in the mammary gland and inducing differentiation of mammary tumor cells; stimulating Schwann cell proliferation; implication in the development of the myocardium such as trabeculation of the developing heart. Isoform 10 may play a role in motor and sensory neuron development. Subunit: The cytoplasmic domain interacts with the LIM domain region of LIMK1. Interacts with ERBB3 and ERBB4. Subcellular Location: Pro-neuregulin-1, membrane-bound isoform: Cell membrane; Single-pass type I membrane protein. Neuregulin-1: Secreted. Isoform 8: Nucleus. Isoform 9: Secreted. Isoform 10: Membrane; Single-pass type I membrane protein. Tissue Specificity: Type I isoforms are the predominant forms expressed in the endocardium. Isoform alpha is expressed in breast, ovary, testis, prostate, heart, skeletal muscle, lung, placenta liver, kidney, salivary gland, small intestine and brain, but not in uterus, stomach, pancreas, and spleen. Isoform 3 is the predominant form in mesenchymal cells and in non-neuronal organs, whereas isoform 6 is the major neuronal form. Isoform 8 is expressed in spinal cord and brain. Isoform 9 is the major form in skeletal muscle cells; in the nervous system it is expressed in spinal cord and brain. Also detected in adult heart, placenta, lung, liver, kidney, and pancreas. Isoform 10 is expressed in nervous system: spinal cord motor neurons, dorsal root ganglion neurons, and brain. Predominant isoform expressed in sensory and motor neurons. Not detected in adult heart, placenta, lung, liver, skeletal muscle, kidney, and pancreas. Not expressed in fetal lung, liver and kidney. Type IV isoforms are brain-specific. Post-translational modifications: Proteolytic cleavage close to the plasma membrane on the external face leads to the release of the soluble growth factor form. N- and O-glycosylated. Extensive glycosylation precedes the proteolytic cleavage. DISEASE: Note=A chromosomal aberration involving NRG1 produces gamma-heregulin. Translocation t(8;11) with ODZ4. The translocation fuses the 5'-end of ODZ4 to NRG1 (isoform 8). The product of this translocation was first thought to be an alternatively spliced isoform. Gamma-heregulin is a soluble activating ligand for the ERBB2-ERBB3 receptor complex and acts as an autocrine growth factor in a specific breast cancer cell line (MDA-MB-175). Not detected in breast carcinoma samples, including ductal, lobular, medullary, and mucinous histological types, neither in other breast cancer cell lines. Similarity: Belongs to the neuregulin family. Contains 1 EGF-like domain. Contains 1 Ig-like C2-type (immunoglobulin-like) domain. SWISS: Q02297 Gene ID: 3084 Database links: Entrez Gene: 3084 Human Entrez Gene: 211323 Mouse Omim: 142445 Human SwissProt: Q02297 Human Unigene: 453951 Human Unigene: 668810 Human Unigene: 153432 Mouse Important Note: This product as supplied is intended for research use only, not for use in human, therapeutic or diagnostic applications. 神经胶质生长因子 |







