

货号
产品规格
售价
备注
BN41228R-100ul
100ul
¥2360.00
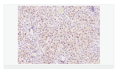
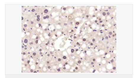
交叉反应:Human,Mouse,Rat(predicted:Dog,Pig,Cow,Horse,Rabbit,Sheep) 推荐应用:WB,IHC-P,IHC-F,IF,ELISA
BN41228R-200ul
200ul
¥3490.00
交叉反应:Human,Mouse,Rat(predicted:Dog,Pig,Cow,Horse,Rabbit,Sheep) 推荐应用:WB,IHC-P,IHC-F,IF,ELISA
产品描述
| 英文名称 | UGDH |
| 中文名称 | 尿苷二磷酸葡萄糖脱氢酶抗体 |
| 别 名 | UDP glucose dehydrogenase; GDH; UDP Glc dehydrogenasev UDP GlcDH; UDP glucose 6 dehydrogenase; UDP-Glc dehydrogenase; UDP-GlcDH; UDP-glucose 6-dehydrogenase; UDPGDH; UGD; Ugdh; UGDH_HUMAN; Uridine diphospho glucose dehydrogenase. |
| 研究领域 | 细胞生物 信号转导 |
| 抗体来源 | Rabbit |
| 克隆类型 | Polyclonal |
| 交叉反应 | Human, Mouse, Rat, (predicted: Dog, Pig, Cow, Horse, Rabbit, Sheep, ) |
| 产品应用 | WB=1:500-2000 ELISA=1:5000-10000 IHC-P=1:100-500 IHC-F=1:100-500 IF=1:100-500 (石蜡切片需做抗原修复) not yet tested in other applications. optimal dilutions/concentrations should be determined by the end user. |
| 分 子 量 | 55kDa |
| 细胞定位 | 细胞核 细胞浆 细胞外基质 分泌型蛋白 |
| 性 状 | Liquid |
| 浓 度 | 1mg/ml |
| 免 疫 原 | KLH conjugated synthetic peptide derived from human UGDH/UDPGDH:421-494/494 |
| 亚 型 | IgG |
| 纯化方法 | affinity purified by Protein A |
| 储 存 液 | 0.01M TBS(pH7.4) with 1% BSA, 0.03% Proclin300 and 50% Glycerol. |
| 保存条件 | Shipped at 4℃. Store at -20 °C for one year. Avoid repeated freeze/thaw cycles. |
| PubMed | PubMed |
| 产品介绍 | The protein encoded by this gene converts UDP-glucose to UDP-glucuronate and thereby participates in the biosynthesis of glycosaminoglycans such as hyaluronan, chondroitin sulfate, and heparan sulfate. These glycosylated compounds are common components of the extracellular matrix and likely play roles in signal transduction, cell migration, and cancer growth and metastasis. The expression of this gene is up-regulated by transforming growth factor beta and down-regulated by hypoxia. Alternative splicing results in multiple transcript variants.[provided by RefSeq, May 2010]. Function: Involved in the biosynthesis of glycosaminoglycans; hyaluronan, chondroitin sulfate, and heparan sulfate. Subunit: Homohexamer. Tissue Specificity: Widely expressed. Similarity: Belongs to the UDP-glucose/GDP-mannose dehydrogenase family. SWISS: O60701 Gene ID: 7358 Database links: Entrez Gene: 7358 Human Entrez Gene: 22235 Mouse Omim: 603370 Human SwissProt: O60701 Human SwissProt: O70475 Mouse Unigene: 572518 Human Unigene: 344831 Mouse Unigene: 3967 Rat Important Note: This product as supplied is intended for research use only, not for use in human, therapeutic or diagnostic applications. |





