

货号
产品规格
售价
备注
BN41240R-100ul
100ul
¥2360.00
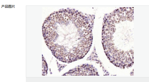
交叉反应:Mouse,Rat(predicted:Human,Dog,Pig,Cow,Horse,Sheep) 推荐应用:WB,IHC-P,IHC-F,IF,Flow-Cyt,ELISA
BN41240R-200ul
200ul
¥3490.00
交叉反应:Mouse,Rat(predicted:Human,Dog,Pig,Cow,Horse,Sheep) 推荐应用:WB,IHC-P,IHC-F,IF,Flow-Cyt,ELISA
产品描述
| 英文名称 | BRN3B |
| 中文名称 | 脑特定蛋白Brn3B抗体 |
| 别 名 | BRN3B; class 4; transcription factor 2; Brain specific homeobox/POU domain protein 3B; Brain-3B; Brain-specific homeobox/POU domain protein 3B; Brn-3B; BRN3.2; Brn3b POU domain transcription factor; PO4F2_HUMAN; POU class 4 homeobox 2; POU domain; POU domain class 4 transcription factor 2; POU domain protein; POU4F2. |
| 研究领域 | 细胞生物 神经生物学 信号转导 干细胞 表观遗传学 |
| 抗体来源 | Rabbit |
| 克隆类型 | Polyclonal |
| 交叉反应 | Mouse, Rat, (predicted: Human, Dog, Pig, Cow, Horse, Sheep, ) |
| 产品应用 | WB=1:500-2000 ELISA=1:5000-10000 IHC-P=1:100-500 IHC-F=1:100-500 Flow-Cyt=1μg /Test IF=1:50-200 (石蜡切片需做抗原修复) not yet tested in other applications. optimal dilutions/concentrations should be determined by the end user. |
| 分 子 量 | 41kDa |
| 细胞定位 | 细胞核 |
| 性 状 | Liquid |
| 浓 度 | 1mg/ml |
| 免 疫 原 | KLH conjugated synthetic peptide derived from human BRN3B/POU4F2:301-400/409 |
| 亚 型 | IgG |
| 纯化方法 | affinity purified by Protein A |
| 储 存 液 | 0.01M TBS(pH7.4) with 1% BSA, 0.03% Proclin300 and 50% Glycerol. |
| 保存条件 | Shipped at 4℃. Store at -20 °C for one year. Avoid repeated freeze/thaw cycles. |
| PubMed | PubMed |
| 产品介绍 | The Brn family of transcription factors are found in a highly restricted subset of neurons and are critical to the early embryonic development of the central nervous system. Brn-1 and Brn-2 are class III POU (Pit-Oct-Unc) domain proteins, whereas Brn-3 is a class IV POU domain protein. Three Brn-3 proteins have been described and are designated Brn-3a, Brn-3b and Brn-3c. While Brn-3a and Brn-3c stimulate transcription, Brn-3b generally functions as a transcriptional repressor. However, Brn-3b, but not Brn-3a, has been shown to regulate the expression of the acetylcholine receptor. Interestingly, Brn-3a has two functional transactivating domains, one at the amino-terminus and one at the carboxy-terminus. Brn-2 is thought to be involved in smooth muscle cell development and differentiation. Function: Transcription factor. May play a role in determining or maintaining the identities of a small subset of visual system neurons. Subcellular Location: Nucleus speckle. Tissue Specificity: Brain. Seems to be specific to the retina. Similarity: Belongs to the POU transcription factor family. Class-4 subfamily. Contains 1 homeobox DNA-binding domain. Contains 1 POU-specific domain. SWISS: Q12837 Gene ID: 5458 Database links: UniProtKB/Swiss-Prot: Q12837.2 Important Note: This product as supplied is intended for research use only, not for use in human, therapeutic or diagnostic applications. |

