

货号
产品规格
售价
备注
BN41269R-100ul
100ul
¥2360.00
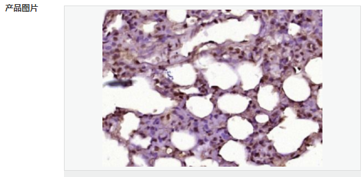
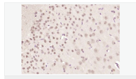
交叉反应:Rat(predicted:Human,Mouse,Dog,Pig,Cow,Rabbit) 推荐应用:IHC-P,IHC-F,ICC,IF,ELISA
BN41269R-200ul
200ul
¥3490.00
交叉反应:Rat(predicted:Human,Mouse,Dog,Pig,Cow,Rabbit) 推荐应用:IHC-P,IHC-F,ICC,IF,ELISA
产品描述
| 英文名称 | CHMP4B+CHMP4C |
| 中文名称 | 染色质修饰蛋白4B(4C)抗体 |
| 别 名 | SNF7 homolog associated with Alix 3; C20orf178; Charged multivesicular body protein 4b; Charged multivesicular body protein 4c; CHMP 4B; CHMP 4C; CHMP4A; Chromatin modifying protein 4B; Chromatin modifying protein 4C; CTPP3; dJ553F4.4; hSnf7 2; hSnf7 3; hVps32; MGC22825; Shax1; Shax3; SNF7 2; SNF7 3; SNF7; Snf7 homologue associated with Alix 1; Vacuolar protein sorting associated protein 7 2; Vacuolar protein sorting associated protein 7 3. |
| 研究领域 | 细胞生物 信号转导 |
| 抗体来源 | Rabbit |
| 克隆类型 | Polyclonal |
| 交叉反应 | Rat, (predicted: Human, Mouse, Dog, Pig, Cow, Rabbit, ) |
| 产品应用 | ELISA=1:5000-10000 IHC-P=1:100-500 IHC-F=1:100-500 ICC=1:100-500 IF=1:100-500 (石蜡切片需做抗原修复) not yet tested in other applications. optimal dilutions/concentrations should be determined by the end user. |
| 分 子 量 | 25kDa |
| 细胞定位 | 细胞核 细胞浆 细胞膜 |
| 性 状 | Liquid |
| 浓 度 | 1mg/ml |
| 免 疫 原 | KLH conjugated synthetic peptide derived from human CHMP4B/CHMP4C:101-200/224 |
| 亚 型 | IgG |
| 纯化方法 | affinity purified by Protein A |
| 储 存 液 | 0.01M TBS(pH7.4) with 1% BSA, 0.03% Proclin300 and 50% Glycerol. |
| 保存条件 | Shipped at 4℃. Store at -20 °C for one year. Avoid repeated freeze/thaw cycles. |
| PubMed | PubMed |
| 产品介绍 | This gene encodes a member of the chromatin-modifying protein/charged multivesicular body protein (CHMP) protein family. The protein is part of the endosomal sorting complex required for transport (ESCRT) complex III (ESCRT-III), which functions in the sorting of endocytosed cell-surface receptors into multivesicular endosomes. The ESCRT machinery also functions in the final abscisson stage of cytokinesis and in the budding of enveloped viruses such as HIV-1. The three proteins of the CHMP4 subfamily interact with programmed cell death 6 interacting protein (PDCD6IP, also known as ALIX), which also functions in the ESCRT pathway. The CHMP4 proteins assemble into membrane-attached 5-nm filaments that form circular scaffolds and promote or stabilize outward budding. These polymers are proposed to help generate the luminal vesicles of multivesicular bodies. Mutations in this gene result in autosomal dominant posterior polar cataracts.[provided by RefSeq, Oct 2009]. Function: Probable core component of the endosomal sorting required for transport complex III (ESCRT-III) which is involved in multivesicular bodies (MVBs) formation and sorting of endosomal cargo proteins into MVBs. MVBs contain intraluminal vesicles (ILVs) that are generated by invagination and scission from the limiting membrane of the endosome and mostly are delivered to lysosomes enabling degradation of membrane proteins, such as stimulated growth factor receptors, lysosomal enzymes and lipids. The MVB pathway appears to require the sequential function of ESCRT-O, -I,-II and -III complexes. ESCRT-III proteins mostly dissociate from the invaginating membrane before the ILV is released. The ESCRT machinery also functions in topologically equivalent membrane fission events, such as the terminal stages of cytokinesis and the budding of enveloped viruses (HIV-1 and other lentiviruses). ESCRT-III proteins are believed to mediate the necessary vesicle extrusion and/or membrane fission activities, possibly in conjunction with the AAA ATPase VPS4. When overexpressed, membrane-assembled circular arrays of CHMP4B filaments can promote or stabilize negative curvature and outward budding. Subunit: Probable core component of the endosomal sorting required for transport complex III (ESCRT-III). ESCRT-III components are thought to multimerize to form a flat lattice on the perimeter membrane of the endosome. Several assembly forms of ESCRT-III may exist that interact and act sequentally. Interacts with CHMP6 and CHMP4C. Interacts with PDCD6IP; the interaction is direct. Interacts with VPS4A; the interaction is direct. Interacts with VPS4B; the interaction is direct. Interacts with CHMP7. Interacts with CFTR; the interaction requires misfolded CFTR. Subcellular Location: Cytoplasm, cytosol. Late endosome membrane; Peripheral membrane protein (Probable). Tissue Specificity: Widely expressed. Expressed at higher level in heart and skeletal muscle. Also expressed in brain, colon, thymus, spleen, kidney, liver, small intestine, placenta, lung and peripheral blood lymphocytes. DISEASE: Defects in CHMP4B are the cause of cataract posterior polar type 3 (CTPP3) [MIM:605387]. A subcapsular opacity, usually disk-shaped, located at the back of the lens. It can have a marked effect on visual acuity. Similarity: Belongs to the SNF7 family. SWISS: Q9H444, Q96CF2 Gene ID: 128866 942421 Database links: UniProtKB/Swiss-Prot: Q9H444.1 Important Note: This product as supplied is intended for research use only, not for use in human, therapeutic or diagnostic applications. |

