

货号
产品规格
售价
备注
BN41279R-100ul
100ul
¥2360.00
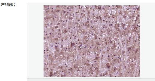
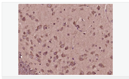
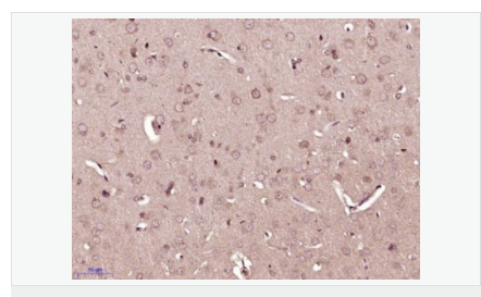
交叉反应:Mouse,Rat(predicted:Human,Horse) 推荐应用:WB,IHC-P,IHC-F,IF,ELISA
BN41279R-200ul
200ul
¥3490.00
交叉反应:Mouse,Rat(predicted:Human,Horse) 推荐应用:WB,IHC-P,IHC-F,IF,ELISA
产品描述
| 英文名称 | CEND1 |
| 中文名称 | 细胞周期通道和神经细胞分化蛋白1抗体 |
| 别 名 | BM88; BM88 antigen; Cell cycle exit and neuronal differentiation 1; Cell cycle exit and neuronal differentiation protein 1; FLJ90066; MGC34326; CEND_HUMAN |
| 研究领域 | 细胞生物 神经生物学 细胞周期蛋白 细胞分化 细胞类型标志物 |
| 抗体来源 | Rabbit |
| 克隆类型 | Polyclonal |
| 交叉反应 | Mouse, Rat, (predicted: Human, Horse, ) |
| 产品应用 | WB=1:500-2000 ELISA=1:5000-10000 IHC-P=1:100-500 IHC-F=1:100-500 IF=1:100-500 (石蜡切片需做抗原修复) not yet tested in other applications. optimal dilutions/concentrations should be determined by the end user. |
| 分 子 量 | 15kDa |
| 细胞定位 | 细胞膜 |
| 性 状 | Liquid |
| 浓 度 | 1mg/ml |
| 免 疫 原 | KLH conjugated synthetic peptide derived from human CEND1:4-100/149 |
| 亚 型 | IgG |
| 纯化方法 | affinity purified by Protein A |
| 储 存 液 | 0.01M TBS(pH7.4) with 1% BSA, 0.03% Proclin300 and 50% Glycerol. |
| 保存条件 | Shipped at 4℃. Store at -20 °C for one year. Avoid repeated freeze/thaw cycles. |
| PubMed | PubMed |
| 产品介绍 | BM88 is a 149 amino acid protein that belongs to the CEND1 familly. Involved in neuroblastoma cell differentiation, BM88 is a single-pass type IV membrane protein that is neuron specific. It is suggested that BM88 forms a dimer of two identical polypeptides linked by disulfide bridges. BM88 has a central proline-rich region containing four PxxP motifs, which typically bind SRC homology-3 (SH3) domains, as well as a putative C-terminal transmembrane region, and several potential sites for N-glycosylation, myristoylation and phosphorylation. It is also suggested that a novel signaling mechanism exists by which BM88 interferes with calcium release from inositol 1,4,5-trisphosphate-sensitive stores and exerts anti-proliferative and anti-apoptotic functions. BM88 is an important molecular target for HDAC inhibition, and transcription of BM88 is induced by trichostatin-A. Function: CEND1 is a neuron-specific protein. The similar protein in pig enhances neuroblastoma cell differentiation in vitro and may be involved in neuronal differentiation in vivo. Multiple pseudogenes have been reported for this gene. Subunit: Homodimer Subcellular Location: Membrane; Single-pass type IV membrane protein. Tissue Specificity: Neuron specific. Similarity: Belongs to the CEND1 family. SWISS: Q8N111 Gene ID: 51286 Database links: Entrez Gene: 51286 Human Entrez Gene: 57754 Mouse Omim: 608213 Human SwissProt: Q8N111 Human SwissProt: Q9JKC6 Mouse Unigene: 22140 Human Unigene: 87027 Mouse Unigene: 64460 Rat Important Note: This product as supplied is intended for research use only, not for use in human, therapeutic or diagnostic applications. |


