

货号
产品规格
售价
备注
BN41378R-100ul
100ul
¥2360.00
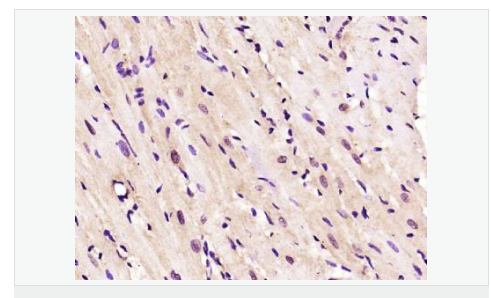
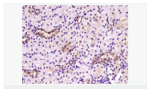
交叉反应:Human,Rat(predicted:Mouse,Dog,Pig,Cow,Horse,Sheep) 推荐应用:WB,IHC-P,ELISA
BN41378R-200ul
200ul
¥3490.00
交叉反应:Human,Rat(predicted:Mouse,Dog,Pig,Cow,Horse,Sheep) 推荐应用:WB,IHC-P,ELISA
产品描述
| 英文名称 | NNF1R |
| 中文名称 | 多胺调控因子1抗体 |
| 别 名 | PMF-1; Pmf1; PMF1_HUMAN; NNF1R; Polyamine modulated factor 1; Polyamine-modulated factor 1. |
| 研究领域 | 细胞生物 信号转导 细胞周期蛋白 细胞分化 表观遗传学 |
| 抗体来源 | Rabbit |
| 克隆类型 | Polyclonal |
| 交叉反应 | Human, Rat, (predicted: Mouse, Dog, Pig, Cow, Horse, Sheep, ) |
| 产品应用 | WB=1:500-2000 ELISA=1:5000-10000 IHC-P=1:100-500 (石蜡切片需做抗原修复) not yet tested in other applications. optimal dilutions/concentrations should be determined by the end user. |
| 分 子 量 | 34kDa |
| 细胞定位 | 细胞核 |
| 性 状 | Liquid |
| 浓 度 | 1mg/ml |
| 免 疫 原 | KLH conjugated synthetic peptide derived from human NNF1R/PMF1:101-200/300 |
| 亚 型 | IgG |
| 纯化方法 | affinity purified by Protein A |
| 储 存 液 | 0.01M TBS(pH7.4) with 1% BSA, 0.03% Proclin300 and 50% Glycerol. |
| 保存条件 | Shipped at 4℃. Store at -20 °C for one year. Avoid repeated freeze/thaw cycles. |
| PubMed | PubMed |
| 产品介绍 | NNF1R, also called PMF1, is part of the MIS12 complex, which may be fundamental for kinetochore formation and proper chromosome segregation during mitosis. It is required for chromosome congression and for correct operation of the spindle checkpoint. May act as a cotranscription partner of NFE2L2 involved in regulation of polyamine-induced transcription of SSAT. Function: Component of the CENPA-CAD (nucleosome distal) complex, a complex recruited to centromeres which is involved in assembly of kinetochore proteins, mitotic progression and chromosome segregation. May be involved in incorporation of newly synthesized CENPA into centromeres via its interaction with the CENPA-NAC complex. Modulates the kinetochore-bound levels of NDC80 complex. Subunit: Component of the CENPA-CAD complex, composed of CENPI, CENPK, CENPL, CENPO, CENPP, CENPQ, CENPR and CENPS. The CENPA-CAD complex interacts with the CENPA-NAC complex, at least composed of CENPA, CENPC, CENPH, CENPM, CENPN, CENPT and MLF1IP/CENPU. Subcellular Location: Nucleus. Associated with the kinetochore. SWISS: Q6P1K2 Gene ID: 11243 Database links: Entrez Gene: 100527963 Human Entrez Gene: 11243 Human Entrez Gene: 67037 Mouse Omim: 609176 Human SwissProt: Q6P1K2 Human SwissProt: Q9CPV5 Mouse Unigene: 530479 Human Unigene: 654541 Human Unigene: 36715 Mouse Important Note: This product as supplied is intended for research use only, not for use in human, therapeutic or diagnostic applications. |



