

货号
产品规格
售价
备注
BN41380R-100ul
100ul
¥2360.00
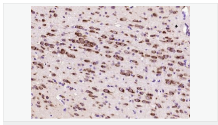
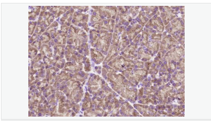
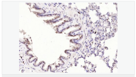
交叉反应:Mouse,Rat(predicted:Human,Dog,Pig,Cow,Horse,Sheep) 推荐应用:WB,IHC-P,IHC-F,IF,ELISA
BN41380R-200ul
200ul
¥3490.00
交叉反应:Mouse,Rat(predicted:Human,Dog,Pig,Cow,Horse,Sheep) 推荐应用:WB,IHC-P,IHC-F,IF,ELISA
产品描述
| 英文名称 | ACPL2 |
| 中文名称 | 酸性磷酸酶样蛋白2抗体 |
| 别 名 | acid phosphatase-like 2; Acid phosphatase-like protein 2; acpl2; ACPL2_HUMAN; EC=3.1.3.2. |
| 研究领域 | 细胞生物 免疫学 |
| 抗体来源 | Rabbit |
| 克隆类型 | Polyclonal |
| 交叉反应 | Mouse, Rat, (predicted: Human, Dog, Pig, Cow, Horse, Sheep, ) |
| 产品应用 | WB=1:500-2000 ELISA=1:5000-10000 IHC-P=1:100-500 IHC-F=1:100-500 IF=1:50-200 (石蜡切片需做抗原修复) not yet tested in other applications. optimal dilutions/concentrations should be determined by the end user. |
| 分 子 量 | 53kDa |
| 细胞定位 | 分泌型蛋白 |
| 性 状 | Liquid |
| 浓 度 | 1mg/ml |
| 免 疫 原 | KLH conjugated synthetic peptide derived from human ACPL2:51-150/480 |
| 亚 型 | IgG |
| 纯化方法 | affinity purified by Protein A |
| 储 存 液 | 0.01M TBS(pH7.4) with 1% BSA, 0.03% Proclin300 and 50% Glycerol. |
| 保存条件 | Shipped at 4℃. Store at -20 °C for one year. Avoid repeated freeze/thaw cycles. |
| PubMed | PubMed |
| 产品介绍 | ACLP2 (acid phosphatase-like 2), also known as UNQ370 or PRO706, is a 480 amino acid secreted protein that functions to catalyze the H2O-dependent conversion of a phosphate monoester to an alcohol and a phosphate. Expressed as two alternatively spliced isoforms, ACPL2 is encoded by a gene that maps to chromosome 3, which houses over 1,100 genes, including a chemokine receptor (CKR) gene cluster and a variety of human cancer-related gene loci. Key tumor suppressing genes on chromosome 3 include those that encode the apoptosis mediator RASSF1, the cell migration regulator HYAL1 and the angiogenesis suppressor SEMA3B. Marfan Syndrome, porphyria, von Hippel-Lindau syndrome, osteogenesis imperfecta and Charcot-Marie-Tooth Disease are a few of the numerous genetic diseases associated with chromosome 3. Subcellular Location: Secreted. Similarity: Belongs to the histidine acid phosphatase family. SWISS: Q8TE99 Gene ID: 92370 Database links: Entrez Gene: 92370 Human Entrez Gene: 235534 Mouse SwissProt: Q8TE99 Human SwissProt: Q8BHA9 Mouse Unigene: 657887 Human Unigene: 233031 Mouse Unigene: 9589 Rat Important Note: This product as supplied is intended for research use only, not for use in human, therapeutic or diagnostic applications. |



