

货号
产品规格
售价
备注
BN41414R-100ul
100ul
¥2360.00
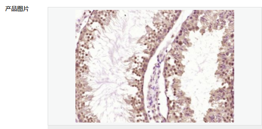
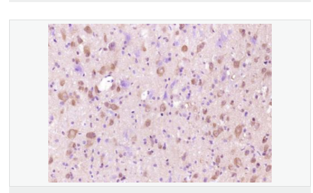
交叉反应:Mouse,Rat(predicted:Human,Dog,Pig,Cow,Horse,Rabbit,Sheep) 推荐应用:IHC-P,IHC-F,IF,ELISA
BN41414R-200ul
200ul
¥3490.00
交叉反应:Mouse,Rat(predicted:Human,Dog,Pig,Cow,Horse,Rabbit,Sheep) 推荐应用:IHC-P,IHC-F,IF,ELISA
产品描述
| 英文名称 | WDFY3 |
| 中文名称 | WDFY3蛋白抗体 |
| 别 名 | Alfy; Autophagy linked FYVE protein; KIAA0993; MGC16461; WD repeat and FYVE domain containing 3; ZFYVE25; WDFY3_HUMAN. |
| 研究领域 | 心血管 细胞自噬 |
| 抗体来源 | Rabbit |
| 克隆类型 | Polyclonal |
| 交叉反应 | Mouse, Rat, (predicted: Human, Dog, Pig, Cow, Horse, Rabbit, Sheep, ) |
| 产品应用 | ELISA=1:5000-10000 IHC-P=1:100-500 IHC-F=1:100-500 IF=1:50-200 (石蜡切片需做抗原修复) not yet tested in other applications. optimal dilutions/concentrations should be determined by the end user. |
| 分 子 量 | 395kDa |
| 细胞定位 | 细胞浆 细胞膜 |
| 性 状 | Liquid |
| 浓 度 | 1mg/ml |
| 免 疫 原 | KLH conjugated synthetic peptide derived from human WDFY3:951-1050/3526 |
| 亚 型 | IgG |
| 纯化方法 | affinity purified by Protein A |
| 储 存 液 | 0.01M TBS(pH7.4) with 1% BSA, 0.03% Proclin300 and 50% Glycerol. |
| 保存条件 | Shipped at 4℃. Store at -20 °C for one year. Avoid repeated freeze/thaw cycles. |
| PubMed | PubMed |
| 产品介绍 | WDFY3 was identified in a screen for phosphatidylinositol 3 phosphate binding proteins. The FYVE domain is a zinc binding domain found in many PtdIns binding proteins and is proposed to target proteins to membrane lipids. WDFY3 has been shown localized to the nuclear membrane and within autophagic membranes and it is proposed to function as a link between protein aggregates and the autophagic machinery. WDFY3 is also known as autophagy linked FYVE protein. Subcellular Location: Membrane; Peripheral membrane protein; Cytoplasmic side. Note: Colocalizes with autophagic structures in starved cells. Tissue Specificity: Ubiquitous. Similarity: Contains 1 BEACH domain. Contains 1 FYVE-type zinc finger. Contains 5 WD repeats. SWISS: Q8IZQ1 Gene ID: 23001 Database links: Entrez Gene: 23001 Human SwissProt: Q8IZQ1 Human Important Note: This product as supplied is intended for research use only, not for use in human, therapeutic or diagnostic applications. |

