

货号
产品规格
售价
备注
BN41517R-50ul
50ul
¥1486.00
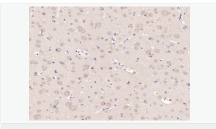
交叉反应:Human,Mouse,Rat(predicted:Sheep,Fruit Fly,yeast,) 推荐应用:WB,IHC-P,IHC-F,IF,Flow-Cyt
BN41517R-100ul
100ul
¥2360.00
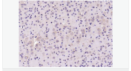
交叉反应:Human,Mouse,Rat(predicted:Sheep,Fruit Fly,yeast,) 推荐应用:WB,IHC-P,IHC-F,IF,Flow-Cyt
BN41517R-200ul
200ul
¥3490.00
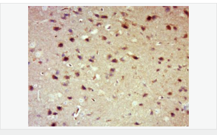
交叉反应:Human,Mouse,Rat(predicted:Sheep,Fruit Fly,yeast,) 推荐应用:WB,IHC-P,IHC-F,IF,Flow-Cyt
产品描述
| 英文名称 | 14-3-3 Alpha + Beta + Gamma + Delta + Epsilon |
| 中文名称 | 14-3-3蛋白/14-3-3 α/β/γ/δ/ε亚型抗体 |
| 别 名 | 14 3 3 protein beta; 14 3 3 protein beta/alpha; 14 3 3 protein zeta; KCIP 1; Protein 1054; Protein kinase C inhibitor protein 1; 14 3 3 protein delta; 14 3 3 protein gamma; YWHAB; YWHAZ; 14 3 3 protein Epsilon; 1433Z_HUMAN; 14-3-3ε; 14-3-3 α; 14-3-3 β; 14-3-3 γ; 14-3-3 δ. |
| 研究领域 | 细胞凋亡 |
| 抗体来源 | Rabbit |
| 克隆类型 | Polyclonal |
| 交叉反应 | Human, Mouse, Rat, (predicted: Sheep, Fruit Fly, yeast,11) |
| 产品应用 | WB=1:500-2000 IHC-P=1:100-500 IHC-F=1:100-500 Flow-Cyt=1μg /test. IF=1:100-500 (石蜡切片需做抗原修复) not yet tested in other applications. optimal dilutions/concentrations should be determined by the end user. |
| 分 子 量 | 27kDa |
| 细胞定位 | 细胞浆 |
| 性 状 | Liquid |
| 浓 度 | 1mg/ml |
| 免 疫 原 | KLH conjugated synthetic peptide derived from human 14-3-3:174-245/245 |
| 亚 型 | IgG |
| 纯化方法 | affinity purified by Protein A |
| 储 存 液 | 0.01M TBS(pH7.4) with 1% BSA, 0.03% Proclin300 and 50% Glycerol. |
| 保存条件 | Shipped at 4℃. Store at -20 °C for one year. Avoid repeated freeze/thaw cycles. |
| PubMed | PubMed |
| 产品介绍 | 14-3-3 are activates tyrosine and tryptophan hydroxylases in the presence of Ca (2+)/calmodulin-dependent protein kinase II, and strongly activates protein kinase C. Is probably a multifunctional regulator of the cell signaling processes mediated by both kinases. Activates the ADP-ribosyltransferase (exoS) activity of bacterial origin. 14-3-3 proteins are localized in neurons, and are axonally transported to the nerve terminals. They may be also present, at lower levels, in various other eukaryotic tissues. It belongs to the 14-3-3 family. This antibody is reactive with 14-3-3 Alpha, Beta, Gamma, Delta, Epsilon. Function: Adapter protein implicated in the regulation of a large spectrum of both general and specialized signaling pathways. Binds to a large number of partners, usually by recognition of a phosphoserine or phosphothreonine motif. Binding generally results in the modulation of the activity of the binding partner. Subunit: Interacts with CDK16 and BSPRY. Interacts with WEE1 (C-terminal). Interacts with SAMSN1. Interacts with MLF1 (phosphorylated form); the interaction retains it in the cytoplasm. Interacts with Thr-phosphorylated ITGB2. Interacts with BCL2L11. Homodimer. Heterodimerizes with YWHAE. Homo- and hetero-dimerization is inhibited by phosphorylation on Ser-58. Interacts with FOXO4, NOXA1, SSH1 and ARHGEF2. Interacts with Pseudomonas aeruginosa exoS (unphosphorylated form). Interacts with BAX; the interaction occurs in the cytoplasm. Under stress conditions, MAPK8-mediated phosphorylation releases BAX to mitochondria. Interacts with phosphorylated RAF1; the interaction is inhibited when YWHAZ is phosphorylated on Thr-232. Interacts with TP53; the interaction enhances p53 transcriptional activity. The Ser-58 phosphorylated form inhibits this interaction and p53 transcriptional activity. Interacts with ABL1 (phosphorylated form); the interaction retains ABL1 in the cytoplasm. Interacts with PKA-phosphorylated AANAT; the interaction modulates AANAT enzymatic activity by increasing affinity for arylalkylamines and acetyl-CoA and protecting the enzyme from dephosphorylation and proteasomal degradation. It may also prevent thiol-dependent inactivation. Interacts with AKT1; the interaction phosphorylates YWHAZ and modulates dimerization. Interacts with GAB2 and TLK2. Subcellular Location: Cytoplasm. Melanosome. Note=Located to stage I to stage IV melanosomes. Post-translational modifications: The delta, brain-specific form differs from the zeta form in being phosphorylated. Phosphorylation on Ser-184 by MAPK8; promotes dissociation of BAX and translocation of BAX to mitochondria. Phosphorylation on Ser-58 by PKA; disrupts homodimerization and heterodimerization with YHAE and TP53. This phosphorylation appears to be activated by sphingosine. Phosphorylation on Thr-232; inhibits binding of RAF1. Similarity: Belongs to the 14-3-3 family. SWISS: P31946 Gene ID: 7529 Database links: Entrez Gene: 7529 Human Entrez Gene: 54401 Mouse Omim: 601289 Human SwissProt: P31946 Human SwissProt: Q9CQV8 Mouse Unigene: 643544 Human Unigene: 34319 Mouse Unigene: 485025 Mouse Unigene: 8653 Rat Important Note: This product as supplied is intended for research use only, not for use in human, therapeutic or diagnostic applications. 信号传导(Signaling Intermediates) 14-3-3蛋白是一个涉及调节细胞凋亡、促细胞分裂信号传导和细胞周期关卡的蛋白质家族。它被认为是通过与丝氨酸残基磷酸化的蛋白质的结合介导的信号传导中的关键调节物。通过与Bad(相关死亡因子)的结合, 14-3-3 蛋白由于将Bad隔离于胞液而防止了细胞凋亡。 蛋白是14-3-3家族成员。它广泛分布于哺乳动物、两栖类、昆虫、植物和酵母菌的真核生物高度保守性多功能蛋白质。 目前已知至少有16个成员。此抗体识别分子量为30-31kDa的14-3-3蛋白αβγδε亚型。 |








