

货号
产品规格
售价
备注
BN41759R-50ul
50ul
¥1486.00
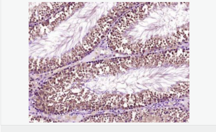
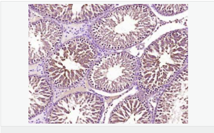
交叉反应:Human,Mouse,Rat(predicted:Pig,Horse) 推荐应用:WB,IHC-P,IHC-F,IF,ELISA
BN41759R-100ul
100ul
¥2360.00
交叉反应:Human,Mouse,Rat(predicted:Pig,Horse) 推荐应用:WB,IHC-P,IHC-F,IF,ELISA
BN41759R-200ul
200ul
¥3490.00
交叉反应:Human,Mouse,Rat(predicted:Pig,Horse) 推荐应用:WB,IHC-P,IHC-F,IF,ELISA
产品描述
| 英文名称 | Securin |
| 中文名称 | 垂体肿瘤转化基因抗体 |
| 别 名 | AW555095; C87862; Cut2; EAP 1; EAP1; ESP1 ASSOCIATED PROTEIN 1; Esp1-associated protein; hPTTG; MGC126883; MGC138276; Pds1; Pituitary tumor transforming 1; Pituitary tumor transforming protein 1; Pituitary tumor-transforming 1, isoform CRA_a; Pituitary tumor-transforming 1, isoform CRA_b; Pituitary tumor-transforming gene 1; Pituitary tumor-transforming gene 1 protein; PTTG 1; PTTG; PTTG1; PTTG1 protein; PTTG1_HUMAN; Pttg3; Securin; TUMOR TRANSFORMING 1; Tumor transforming protein 1; TUMOR-TRANSFORMING 1; Tumor-transforming protein 1; TUTR 1; TUTR1. |
| 研究领域 | 肿瘤 细胞生物 免疫学 细胞周期蛋白 转录调节因子 表观遗传学 |
| 抗体来源 | Rabbit |
| 克隆类型 | Polyclonal |
| 交叉反应 | Human, Mouse, Rat, (predicted: Pig, Horse, ) |
| 产品应用 | WB=1:500-2000 ELISA=1:5000-10000 IHC-P=1:100-500 IHC-F=1:100-500 IF=1:100-500 (石蜡切片需做抗原修复) not yet tested in other applications. optimal dilutions/concentrations should be determined by the end user. |
| 分 子 量 | 22-28kDa |
| 细胞定位 | 细胞核 细胞浆 |
| 性 状 | Liquid |
| 浓 度 | 1mg/ml |
| 免 疫 原 | KLH conjugated synthetic peptide derived from human PTTG1:101-202/202 |
| 亚 型 | IgG |
| 纯化方法 | affinity purified by Protein A |
| 储 存 液 | 0.01M TBS(pH7.4) with 1% BSA, 0.03% Proclin300 and 50% Glycerol. |
| 保存条件 | Shipped at 4℃. Store at -20 °C for one year. Avoid repeated freeze/thaw cycles. |
| PubMed | PubMed |
| 产品介绍 | The encoded protein is a homolog of yeast securing proteins, which prevent separins from promoting sister chromatid separation. It is an anaphase-promoting complex (APC) substrate that associates with a separin until activation of the APC. The gene product has transforming activity in vitro and tumorigenic activity in vivo, and the gene is highly expressed in various tumors. The gene product contains 2 PXXP motifs, which are required for its transforming and tumorigenic activities, as well as for its stimulation of basic fibroblast growth factor expression. It also contains a destruction box (D box) that is required for its degradation by the APC. The acidic C-terminal region of the encoded protein can act as a transactivation domain. The gene product is mainly a cytosolic protein, although it partially localizes in the nucleus. Three transcript variants encoding the same protein have been found for this gene. [provided by RefSeq, Sep 2013]. Function: Expressed at low level in most tissues, except in adult testis, where it is highly expressed. Overexpressed in many patients suffering from pituitary adenomas, primary epithelial neoplasias, and esophageal cancer. Subcellular Location: Cytoplasm. Nucleus. Post-translational modifications: Phosphorylated at Ser-165 by CDK1 during mitosis. Phosphorylated in vitro by ds-DNA kinase. Ubiquitinated through 'Lys-11' linkage of ubiquitin moieties by the anaphase promoting complex (APC) at the onset of anaphase, conducting to its degradation. 'Lys-11'-linked ubiquitination is mediated by the E2 ligase UBE2C/UBCH10. Similarity: Belongs to the securin family. SWISS: O95997 Gene ID: 9232 Database links: Entrez Gene: 9232 Human Entrez Gene: 30939 Mouse Omim: 604147 Human SwissProt: O95997 Human SwissProt: Q6IAL9 Human SwissProt: Q3Y5K4 Mouse SwissProt: Q5SRU0 Mouse SwissProt: Q9CQJ7 Mouse Unigene: 350966 Human Unigene: 6856 Mouse Unigene: 137183 Rat Unigene: 271 Rat Important Note: This product as supplied is intended for research use only, not for use in human, therapeutic or diagnostic applications. 垂体肿瘤转化基因PTTG可在多种肿瘤组织及部分正常组织细胞内表达较高,对促进细胞增殖、转化及肿瘤发生有重要作用。 |




