

货号
产品规格
售价
备注
BN41807R-50ul
50ul
¥1486.00
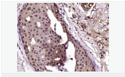
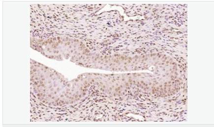
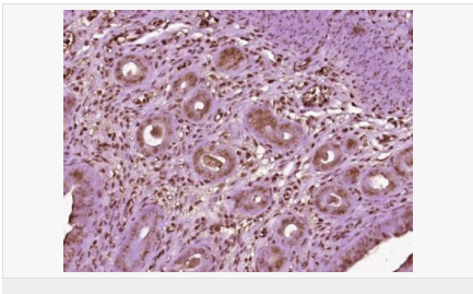
交叉反应:Human,Mouse,Rat(predicted:Rabbit) 推荐应用:WB,IHC-P,IHC-F,ICC,IF,Flow-Cyt
BN41807R-100ul
100ul
¥2360.00
交叉反应:Human,Mouse,Rat(predicted:Rabbit) 推荐应用:WB,IHC-P,IHC-F,ICC,IF,Flow-Cyt
BN41807R-200ul
200ul
¥3490.00
交叉反应:Human,Mouse,Rat(predicted:Rabbit) 推荐应用:WB,IHC-P,IHC-F,ICC,IF,Flow-Cyt
产品描述
| 英文名称 | Progesterone Receptor |
| 中文名称 | 孕激素受体抗体 |
| 别 名 | NR3C3; Nuclear receptor subfamily 3 group C member 3; PGR; PR; PRA; PRB; Progesterone receptor; Progestin receptor form A; Progestin receptor form B; PRGR_HUMAN; Progestin receptor form A; Progestin receptor form B. |
| 研究领域 | 肿瘤 免疫学 信号转导 生长因子和激素 肿瘤细胞生物标志物 |
| 抗体来源 | Rabbit |
| 克隆类型 | Polyclonal |
| 交叉反应 | Human, Mouse, Rat, (predicted: Rabbit, ) |
| 产品应用 | WB=1:500-2000 IHC-P=1:100-500 IHC-F=1:100-500 Flow-Cyt=1ug/Test ICC=1:100-500 IF=1:100-500 (石蜡切片需做抗原修复) not yet tested in other applications. optimal dilutions/concentrations should be determined by the end user. |
| 分 子 量 | 103kDa |
| 细胞定位 | 细胞核 细胞浆 |
| 性 状 | Liquid |
| 浓 度 | 1mg/ml |
| 免 疫 原 | KLH conjugated synthetic peptide derived from human Progesterone Receptor:221-320/933 |
| 亚 型 | IgG |
| 纯化方法 | affinity purified by Protein A |
| 储 存 液 | 0.01M TBS(pH7.4) with 1% BSA, 0.03% Proclin300 and 50% Glycerol. |
| 保存条件 | Shipped at 4℃. Store at -20 °C for one year. Avoid repeated freeze/thaw cycles. |
| PubMed | PubMed |
| 产品介绍 | Estrogen and progesterone receptor are members of a family of transcription factors that are regulated by the binding of their cognate ligands. The interaction of hormone-bound estrogen receptors with estrogen responsive elements(EREs) alters transcription of ERE-containing genes. The carboxy terminal region of the estrgen receptor contains the ligand binding domain, the amino terminus serves as the transactivation domain, and the DNA binding domain is centrally located. Two forms of estrogen receptor have been identified, ER alpha and ER beta. ER alpha and ER beta have been shown to be differentially activated by various ligands. The biological response to progesterone is mediated by two distinct forms of the human progesterone receptor (hPR-Aand hPR-B), which arise from alternative splicing. In most cells, hPR-B functions as a transcriptional activator of progesterone-responsive gene, whereas hPR-A function as a transcriptional inhibitor of all steroid hormone receptors. Function: The steroid hormones and their receptors are involved in the regulation of eukaryotic gene expression and affect cellular proliferation and differentiation in target tissues. Progesterone receptor isoform B (PRB) is involved activation of c-SRC/MAPK signaling on hormone stimulation. Isoform A is inactive in stimulating c-Src/MAPK signaling on hormone stimulation. Subunit: Interacts with SMARD1 and UNC45A. Interacts with CUEDC2; the interaction promotes ubiquitination, decreases sumoylation, and repesses transcriptional activity. Interacts with PIAS3; the interaction promotes sumoylation of PR in a hormone-dependent manner, inhibits DNA-binding, and alters nuclear export. Interacts with SP1; the interaction requires ligand-induced phosphorylation on Ser-345 by ERK1/2 MAPK. Interacts with PRMT2. Subcellular Location: Nucleus. Cytoplasm. Note=Nucleoplasmic shuttling is both homone- and cell cycle-dependent. On hormone stimulation, retained in the cytoplasm in the G(1) and G(2)/M phases. Isoform A: Nucleus. Cytoplasm. Note=Mainly nuclear. Post-translational modifications: Phosphorylated on multiple serine sites. Several of these sites are hormone-dependent. Phosphorylation on Ser-294 occurs preferentially on isoform B, is highly hormone-dependent and modulates ubiquitination and sumoylation on Lys-388. Phosphorylation on Ser-102 and Ser-345 also requires induction by hormone. Basal phosphorylation on Ser-81, Ser-162, Ser-190 and Ser-400 is increased in response to progesterone and can be phosphorylated in vitro by the CDK2-A1 complex. Increased levels of phosphorylation on Ser-400 also in the presence of EGF, heregulin, IGF, PMA and FBS. Phosphorylation at this site by CDK2 is ligand-independent, and increases nuclear translocation and transcriptional activity. Phosphorylation at Ser-162 and Ser-294, but not at Ser-190, is impaired during the G(2)/M phase of the cell cycle. Phosphorylation on Ser-345 by ERK1/2 MAPK is required for interaction with SP1. Sumoylation is hormone-dependent and represses transcriptional activity. Sumoylation on all three sites is enhanced by PIAS3. Desumoylated by SENP1. Sumoylation on Lys-388, the main site of sumoylation, is repressed by ubiquitination on the same site, and modulated by phosphorylation at Ser-294. Similarity: Belongs to the nuclear hormone receptor family. NR3 subfamily. Contains 1 nuclear receptor DNA-binding domain. SWISS: P06401 Gene ID: 5241 Database links: Entrez Gene: 5241 Human Entrez Gene: 18667 Mouse Entrez Gene: 100009094 Rabbit Omim: 607311 Human SwissProt: P06401 Human SwissProt: Q00175 Mouse SwissProt: P06186 Rabbit Unigene: 2905 Human Unigene: 32405 Human Unigene: 742403 Human Unigene: 12798 Mouse Unigene: 437703 Mouse Unigene: 1947 Rabbit Unigene: 10303 Rat Important Note: This product as supplied is intended for research use only, not for use in human, therapeutic or diagnostic applications. |





