

货号
产品规格
售价
备注
BN41916R-50ul
50ul
¥1486.00
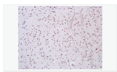
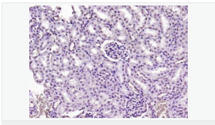
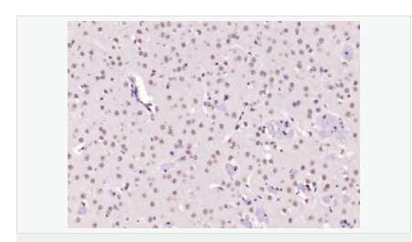
交叉反应:Rat,Mouse,Human(predicted:Rabbit,Cow,Pig,Dog) 推荐应用:WB,IHC-P,IHC-F,ICC,IF,Flow-Cyt,ELISA
BN41916R-100ul
100ul
¥2360.00
交叉反应:Rat,Mouse,Human(predicted:Rabbit,Cow,Pig,Dog) 推荐应用:WB,IHC-P,IHC-F,ICC,IF,Flow-Cyt,ELISA
BN41916R-200ul
200ul
¥3490.00
交叉反应:Rat,Mouse,Human(predicted:Rabbit,Cow,Pig,Dog) 推荐应用:WB,IHC-P,IHC-F,ICC,IF,Flow-Cyt,ELISA
产品描述
| 英文名称 | KEAP1 |
| 中文名称 | 胞质接头蛋白Keap1 |
| 别 名 | Cytosolic inhibitor of Nrf2; INrf 2; INrf2; Keap 1; KEAP1; KEAP1_HUMAN; Kelch like ECH associated protein 1; Kelch like protein 19; Kelch-like ECH-associated protein 1; Kelch-like protein 19; KIAA0132; KLHL 19; KLHL19; MGC10630; MGC1114; MGC20887; MGC4407; MGC9454. |
| 研究领域 | 肿瘤 细胞生物 发育生物学 信号转导 细胞凋亡 转录调节因子 激酶和磷酸酶 |
| 抗体来源 | Rabbit |
| 克隆类型 | Polyclonal |
| 交叉反应 | Human, Mouse, (predicted: Rat, Dog, Pig, Cow, Rabbit, ) |
| 产品应用 | WB=1:500-2000 ELISA=1:5000-10000 IHC-P=1:100-500 IHC-F=1:100-500 ICC=1:100-500 IF=1:100-500 (石蜡切片需做抗原修复) not yet tested in other applications. optimal dilutions/concentrations should be determined by the end user. |
| 分 子 量 | 69kDa |
| 细胞定位 | 细胞核 细胞浆 |
| 性 状 | Liquid |
| 浓 度 | 1mg/ml |
| 免 疫 原 | KLH conjugated synthetic peptide derived from human KEAP1:21-120/624 |
| 亚 型 | IgG |
| 纯化方法 | affinity purified by Protein A |
| 储 存 液 | 0.01M TBS(pH7.4) with 1% BSA, 0.03% Proclin300 and 50% Glycerol. |
| 保存条件 | Shipped at 4℃. Store at -20 °C for one year. Avoid repeated freeze/thaw cycles. |
| PubMed | PubMed |
| 产品介绍 | This gene encodes a protein containing KELCH-1 like domains, as well as a BTB/POZ domain. Kelch-like ECH-associated protein 1 interacts with NF-E2-related factor 2 in a redox-sensitive manner and the dissociation of the proteins in the cytoplasm is followed by transportation of NF-E2-related factor 2 to the nucleus. This interaction results in the expression of the catalytic subunit of gamma-glutamylcysteine synthetase. Two alternatively spliced transcript variants encoding the same isoform have been found for this gene. [provided by RefSeq, Jul 2008]. Function: Retains NFE2L2/NRF2 in the cytosol. Functions as substrate adapter protein for the E3 ubiquitin ligase complex formed by CUL3 and RBX1. Targets NFE2L2/NRF2 for ubiquitination and degradation by the proteasome, thus resulting in the suppression of its transcriptional activity and the repression of antioxidant response element-mediated detoxifying enzyme gene expression. May also retain BPTF in the cytosol. Targets PGAM5 for ubiquitination and degradation by the proteasome. Subunit: Homodimer. Forms a ternary complex with NFE2L2 and PGAM5. Interacts with the N-terminal regulatory domain of NFE2L2/NRF2. Interacts with BPTF and PTMA. Interacts with CUL3. Part of a complex that contains KEAP1, CUL3 and RBX1. Subcellular Location: Cytoplasm. Nucleus. Note=Shuttles between cytoplasm and nucleus. Tissue Specificity: Broadly expressed, with highest levels in skeletal muscle. Similarity: Contains 1 BACK (BTB/Kelch associated) domain. Contains 1 BTB (POZ) domain. Contains 6 Kelch repeats. SWISS: Q14145 Gene ID: 9817 Database links: Entrez Gene: 9817 Human Entrez Gene: 50868 Mouse Entrez Gene: 321837 Zebrafish Omim: 606016 Human SwissProt: Q14145 Human SwissProt: Q9Z2X8 Mouse Unigene: 465870 Human Unigene: 248266 Mouse Unigene: 23467 Rat Important Note: This product as supplied is intended for research use only, not for use in human, therapeutic or diagnostic applications. |












